
Ascariasis
[Ascaris lumbricoides]
Causal Agents
Ascaris species are very large (adult females: 20 to 35 cm; adult males: 15 to 30 cm) nematodes (roundworms) that parasitize the human intestine. A. lumbricoides is the primary species involved in human infections globally, but Ascaris derived from pigs (often referred to as A. suum) may also infect humans. These two parasites are very closely related, and hybrids have been identified; thus, their status as distinct, reproductively isolated species is a contentious topic.
Life Cycle:
Adult worms
live in the lumen of the small intestine. A female may produce approximately 200,000 eggs per day, which are passed with the feces
. Unfertilized eggs may be ingested but are not infective. Larvae develop to infectivity within fertile eggs after 18 days to several weeks
, depending on the environmental conditions (optimum: moist, warm, shaded soil). After infective eggs are swallowed
, the larvae hatch
, invade the intestinal mucosa, and are carried via the portal, then systemic circulation to the lungs
. The larvae mature further in the lungs (10 to 14 days), penetrate the alveolar walls, ascend the bronchial tree to the throat, and are swallowed
. Upon reaching the small intestine, they develop into adult worms. Between 2 and 3 months are required from ingestion of the infective eggs to oviposition by the adult female. Adult worms can live 1 to 2 years.
Hosts
Humans and swine are the major hosts for Ascaris; see Causal Agents for discussion on species status of Ascaris from both hosts. Natural infections with A. lumbricoides sometimes occur in monkeys and apes.
Occasionally, Ascaris sp. eggs may be found in dog feces. This does not indicate true infection but instead spurious passage of eggs following coprophagy.
Geographic Distribution
Ascariasis is the most common human helminthic infection globally. The burden is highest in tropical and subtropical regions, especially in areas with inadequate sanitation. This infection is generally rare to absent in developed countries, but sporadic cases may occur in rural, impoverished regions of those countries. Some cases in these areas where human transmission is negligible have direct epidemiologic associations to pig farms.
Clinical Presentation
Although heavy infections in children may cause stunted growth via malnutrition, adult worms usually cause no acute symptoms. High worm burdens may cause abdominal pain and intestinal obstruction and potentially perforation in very high intensity infections. Migrating adult worms may cause symptomatic occlusion of the biliary tract, appendicitis, or nasopharyngeal expulsion, particularly in infections involving a single female worm.
Ascaris lumbricoides unfertilized eggs.
Larvae of A. lumbricoides hatching from eggs.
Adults of A. lumbricoides.
Adults of Ascaris lumbricoides are large roundworms. Females measure 20–35 cm long with straight taisl; males are smaller at 15–31 cm and tend to have curved tails. Adults of both sexes possess three “lips” at the anterior end of the body.
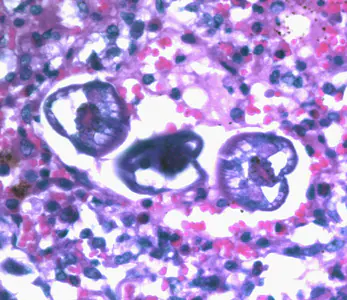
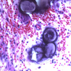
A. lumbricoides in tissue specimens.
Laboratory Diagnosis
Microscopic identification of eggs in the stool is the most common method for diagnosing intestinal ascariasis. The recommended procedure is as follows:
- Collect a stool specimen.
- Preserve the specimen in formalin or another fixative.
- Concentrate using the formalin–ethyl acetate sedimentation technique
- Examine a wet mount of the sediment.
Where concentration procedures are not available, a direct wet mount examination of the specimen is adequate for detecting moderate to heavy infections. For quantitative assessments of infection, various methods such as the Kato-Katz or quantitative fecal flotation can be used.
Larvae can be identified in sputum or gastric aspirate during the pulmonary migration phase (examine fixed organisms for morphology). Adult worms are occasionally passed in the stool or through the mouth or nose and are recognizable by their macroscopic characteristics (e.g., presence of three “lips”).
Molecular methods for the detection of egg/worm DNA in human stools are increasingly used in research settings, often in multi-parallel formats for detecting this and other soil-transmitted helminths.
Laboratory Safety
Standard precautions for the processing of stool samples apply. Ascaris spp. eggs require weeks in the environment to develop to an infective stage; thus infectious eggs are not likely to be encountered in clinical specimens.
Suggested Reading
Dold, C. and Holland, C.V., 2011. Ascaris and ascariasis. Microbes and Infection, 13(7), pp.632-637.
Miller, L.A., Colby, K., Manning, S.E., Hoenig, D., McEvoy, E., Montgomery, S., Mathison, B., de Almeida, M., Bishop, H., DaSilva, A. and Sears, S., 2015. Ascariasis in humans and pigs on small-scale farms, Maine, USA, 2010–2013. Emerging Infectious Diseases, 21(2), p.332.
DPDx is an educational resource designed for health professionals and laboratory scientists. For an overview including prevention, control, and treatment visit www.cdc.gov/parasites/.
