
Balantidiasis
[Balantidium coli]
Causal Agents
Balantidium (=Neobalantidium) (=Balantioides) coli, a large ciliated protozoan, is the only ciliate known to be capable of infecting humans. It is often associated with swine, the primary reservoir host. Recent molecular analyses have suggested the need for taxonomic revision, and it is now sometimes referred to as Neobalantidium coli or Balantioides coli, although this nomenclature has neither been resolved nor widely adopted in the medical community.
Life Cycle
Cysts are the stage responsible for transmission of balantidiasis
. The host most often acquires the cyst through ingestion of contaminated food or water
. Following ingestion, excystation occurs in the small intestine, and the trophozoites colonize the large intestine
. The trophozoites reside in the lumen of the large intestine and appendix of humans and animals, where they replicate by binary fission, during which conjugation may occur
. Trophozoites undergo encystation to produce infective cysts
. Some trophozoites invade the wall of the colon and multiply, causing ulcerative pathology in the colon wall. Some return to the lumen and disintegrate. Mature cysts are passed with feces.
Hosts
Swine are the primary reservoir hosts. Humans can also be reservoirs, and other potential animal hosts include rodents and nonhuman primates.
Geographic Distribution
Balantidium coli occurs worldwide. Because pigs are the primary reservoir, human infections occur more frequently in areas where pigs are raised and sanitation is inadequate.
Clinical Presentation
Most cases are asymptomatic. Clinical manifestations, when present, may be acute or chronic with abdominal symptoms. Complications of associated diarrhea or dysentery can occur in protracted infections. Symptoms may be severe or fatal in debilitated/immunocompromised persons.
Extraintestinal infection is rare but potentially serious and typically occurs secondary to intestinal infection. Peritonitis and liver abscesses have been noted following intestinal perforation or rupture of fulminant colonic ulcers. Invasion of urogenital tract may be caused by contamination from the anal region or through fistulae caused by severe infection.
Balantidium coli cysts in wet mounts.
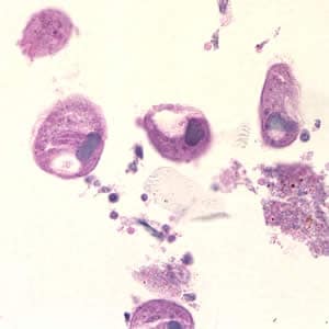
Both Balantidium coli trophozoites and cysts may be shed in stools. Both stages may occur in diarrheal stools, and usually only cysts are observed formed stools. Trophozoites are characterized by: their large size (40 µm to 200 µm), the presence of cilia on the cell surface, a cytostome, and a bean shaped macronucleus which is often visible and a smaller, less conspicuous micronucleus. Cysts are seen less frequently and range in size from 50 µm to 70 µm. B. coli trophozoites can also invade tissue.
Laboratory Diagnosis
Diagnosis is based on detection of trophozoites in stool samples from symptomatic patients or in tissue collected during endoscopy. Cysts are less frequently encountered, and are most likely to be recovered from formed stool. Balantidium coli is passed intermittently and once outside the colon is rapidly destroyed. Thus stool specimens should be collected repeatedly, and immediately examined or preserved to enhance detection of the parasite; concentration via sedimentation or flotation can increase the probability of recovery. Lugol’s iodine is sometimes used for staining, but may obscure internal morphological features.
More on: Morphologic comparison with other intestinal parasites
Laboratory Safety
Standard protocols apply for the processing of stool samples. Precautions (e.g., PPE, use of a biosafety cabinet) should be taken to avoid accidental exposure to cysts in unfixed stool specimens, as these may be potentially infectious to laboratory personnel.
Suggested Reading
Schuster, F.L. and Ramirez-Avila, L., 2008. Current world status of Balantidium coli. Clinical Microbiology Reviews, 21 (4), pp.626–638.
DPDx is an educational resource designed for health professionals and laboratory scientists. For an overview including prevention, control, and treatment visit www.cdc.gov/parasites/.
