
Blastocystis sp.
[Blastocystis sp.] [Blastocystis hominis]
Causal Agents
Blastocystis is a genetically diverse unicellular parasite of unclear pathogenic potential that colonizes the intestines of humans and a wide range of non-human animals. On the basis of molecular data, the organism has been classified as a stramenopile. Organisms such as diatoms, chrysophytes, water molds, and slime nets are other examples of stramenopiles.
Blastocystis organisms isolated from humans have commonly been referred to as B. hominis. However, because of extensive genetic diversity (even among organisms isolated from humans) and low host specificity, the designation Blastocystis sp. is considered more appropriate. If genetic typing is performed, the subtype (ST) also should be noted in accordance with consensus terminology.* Among the nine STs found to date in humans, the four most prevalent STs are ST1, ST2, ST3, and ST4; other STs occur sporadically and may be related to zoonotic transmission.
* Stensvold, C.R., Suresh, G.K., Tan, K.S., Thompson, R.A., Traub, R.J., Viscogliosi, E., Yoshikawa, H. and Clark, C.G., 2007. Terminology for Blastocystis subtypes–a consensus. Trends in Parasitology, 23 (3), pp.93-96.
Life Cycle
The life cycle of Blastocystis sp. is not yet understood, including the infectious stage and whether (and which of the) various morphologic forms of this polymorphic organism that have been identified in stool or culture constitute distinct biologic stages of the parasite in the intestinal tract of hosts. The cyst form (3–5 µm) is postulated to be an infectious stage, but not confirmed. The predominant form found in human stool specimens is referred to as the vacuolar (or central body) form and is of variable size (5–40 µm, occasionally much larger). Replication appears to occur via binary fission. Other morphologic forms (e.g., ameboid and granular forms) also have been noted in stool samples and/or culture; their biological role and eventual developmental fate require further investigation.
Hosts
Blastocystis has been detected in stool from humans and a wide range of non-human animals (e.g. canids, swine, primates, rodents, birds, etc.).
Geographic Distribution
Blastocystis sp. is found worldwide. Efforts to characterize the geographic and host distribution of Blastocystis subtypes are ongoing.
Clinical Presentation
Whether Blastocystis sp. (or particular subtypes thereof or particular strains of certain subtypes) can cause gastrointestinal disease (symptomatic infection) in humans continues to be debated and investigated. Blastocystis sp. has been detected in both symptomatic and asymptomatic persons.
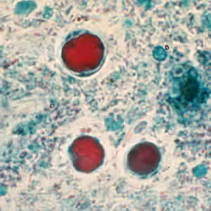
Blastocystis sp. in human stool specimens usually appears as spherical to oval vacuolar forms, which can vary widely in size (5 to 40 µm, occasionally much larger in culture; usual range in human stool is 8 to 10 µm) and typically consist of a central body, or “vacuole,” surrounded by a thin rim of cytoplasm containing up to six nuclei. The vacuoles stain variably from red to blue with trichrome; the staining facilitates detection and identification of the organism (e.g., differentiation from fecal debris). Other morphologic forms occasionally are noted in human stool specimens.
Laboratory Diagnosis
Diagnosis is based on identifying Blastocystis sp. (almost always the vacuolar form) in stool specimens. Permanently stained slides are preferred over unstained wet-mount preparations; in wet mounts, fecal debris may be mistaken for Blastocystis sp. and vice versa. Molecular methods are generally only used in research settings.
Morphology
More on: Morphologic comparison with other intestinal parasites
Laboratory Safety
Standard precautions apply for the processing of stool specimens.
Suggested Reading
Roberts, T., Barratt, J., Harkness, J., Ellis, J. and Stark, D., 2011. Comparison of microscopy, culture, and conventional polymerase chain reaction for detection of Blastocystis sp. in clinical stool samples. The American Journal of Tropical Medicine And Hygiene, 84(2), pp.308-312.
Tan, K.S., 2008. New insights on classification, identification, and clinical relevance of Blastocystis spp. Clinical Microbiology Reviews, 21(4), pp.639-665.
DPDx is an educational resource designed for health professionals and laboratory scientists. For an overview including prevention, control, and treatment visit www.cdc.gov/parasites/.
