
Coenurosis
[Taenia multiceps] [Taenia serialis]
Causal Agents
Coenurosis is infection with the metacestode larval stage (coenurus; plural coenuri) of coenurus-forming Taenia species, including Taenia (=Multiceps) multiceps, T. serialis, T. brauni, and T. glomeratus. Of these, T. multiceps is the most commonly implicated species. Unlike the other prevalent human-infecting Taenia species, humans do not support the maturation of these cestodes (tapeworms) in the intestine and only experience tissue infections with coenuri e). These species are sometimes called “bladder worms” due to the shape of the coenurus.
Life Cycle
Eggs and gravid proglottids are shed in feces of the infected definitive host (canids) into the environment
, where they are immediately infectious and may be ingested by an intermediate host
. Eggs hatch in the intestine of the intermediate host and oncospheres are released
that circulate in blood until they lodge in suitable organs (including skeletal muscle, eyes, brain and subcutaneous tissue). After about three months, oncospheres develop into coenuri, which contain numerous protoscolices. The definitive host becomes infected by ingesting the tissue of an infected intermediate host containing a coenurus
. The protoscolices evert, attach to the small intestinal wall
, and develop into adult cestodes in the definitive canid host
.
Humans become infected after the accidental ingestion of eggs on fomites or in food and water contaminated by feces of the infected definitive host
. Eggs hatch in the intestine, and oncospheres are released
that circulate in blood until they lodge in suitable organs and after about three months develop into coenuri
. Coenuri of T. multiceps are usually found in the eyes and brain; those of T. serialis are usually found in subcutaneous tissue.
Hosts
The definitive hosts for Taenia multiceps and T. serialis are members of the family Canidae. Many canids can serve as definitive hosts for T. multiceps, but only dogs and foxes can serve as hosts for T. serialis. Sheep are a common intermediate host for T. multiceps, and rabbits for T. serialis, although many other herbivorous species can also serve as intermediate hosts.
Geographic Distribution
Widespread; most of the human cases are from Africa, although cases also appear in sheep-raising areas of Europe, South America, the United States, and Canada. T. brauni and T. glomerulatus cases have occurred in Africa only.
Clinical Presentation
There is not a well-defined clinical syndrome for coenurosis; presentation will depend on the location and extent of the coenuri. Coenuri in the skin or subcutaneous tissue usually present as painless nodules, which may be fluctuant and tender. Most subcutaneous nodules manifest on the torso, sclera, subconjuctiva, neck, shoulders, head, and limbs. Coenuri in the neck may affect neck movement and swallowing, and central nervous system-associated coenuri may present with variable neurologic signs/symptoms similar to cysticercosis. Coenuri in the eye cause both intraocular and orbital infections with varying degrees of visual impairment. Obstructive jaundice has been observed in some cases where coenuri are found intraperitoneally. Clinically, coenuri may mimic lymphomas, lipomas, neurofibromas, or pseudotumors. Coenurosis should be distinguished from other tissue cestodiases including cysticercosis, hydatid disease/echinococcosis, and sparganosis.
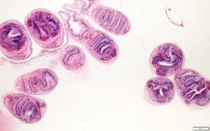
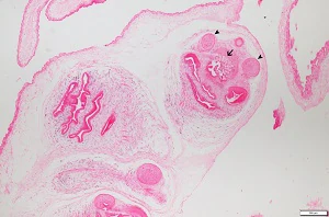
Coenurosis is infection by the metacestode larval stage (coenurus) of Taenia multiceps and T. serialis. Coenuri may be found in most tissue types, but those of T. multiceps have a predilection for the central nervous system and eye; those of T. serialis are usually found in subcutaneous tissue. Coenuri are thin-walled, whitish or gray, and spherical to polycephalic in shape. The common name “bladder worm” derives from the gross appearance, resembling a fluid-filled bladder. A coenurus contains multiple protoscolices; this distinguishes it from a cysticercus, which contains a single protoscolex. Also, the length of the large hooklets on the protoscolices can be useful in separating cysticerci from coenuri: the long hooklets of a metacestode of T. serialis and T. multiceps measure 110–175 µm long; those of T. solium measure 100—130 µm long. T. multiceps protoscolices are scattered irregularly within the coenurus, and T. serialis and T. brauni have a more linear arrangement.
Laboratory Diagnosis
Diagnosis is made by the observation of coenuri in biopsy or autopsy specimens. Coenuri are usually readily distinguished from cysticerci by the presence of multiple protoscolices. The use of serology in diagnosis remains experimental.
Laboratory Safety
Standard laboratory precautions for the processing of tissue specimens apply.
Suggested Reading
Ing, M.B., Schantz, P.M. and Turner, J.A., 1998. Human coenurosis in North America: case reports and review. Clinical infectious diseases, 27(3), pp.519 – 523.
DPDx is an educational resource designed for health professionals and laboratory scientists. For an overview including prevention, control, and treatment visit www.cdc.gov/parasites/.
