
Dientamoeba fragilis Infection
[Dientamoeba fragilis]
Causal Agent
Despite its name, Dientamoeba fragilis is not an ameba but an intestinal flagellate, most closely related to trichomonads. In human stool specimens, D. fragilis is almost always found solely as a trophozoite. However, the rare presence of putative cyst and precyst forms in clinical specimens has been reported; their transmission potential is being investigated. Other aspects of the transmission and pathogenicity of D. fragilis also are poorly understood.
Life Cycle
The complete life cycle of Dientamoeba fragilis has not yet been elucidated; assumptions have been made on the basis of clinical observations and the biology of related species (in particular, Histomonas meleagridis, a parasite of galliform birds). Trophozoites are found in the lumen of the large intestine, where they multiply via binary fission, and are shed in the stool
. Historically, only the trophozoite stage of D. fragilis had been detected. However, rare putative cyst and precyst forms have been described in human clinical specimens; whether and in what settings transmission to humans occurs via ingestion of such forms in contrast or in addition to other fecal-oral transmission routes is not yet known
. Transmission via helminth eggs (e.g., via Enterobius vermicularis eggs) has been postulated
.
Hosts
Dientamoeba fragilis is primarily a parasite of humans. Trophozoites have been identified in some other mammals (e.g., non-human primates, swine), but the epidemiologic significance of these hosts is unknown.
Geographic Distribution
Dientamoeba fragilis is found worldwide. Infection appears to be more common in children.
Clinical Presentation
The pathogenicity and clinical importance of D. fragilis continue to be investigated, including whether particular genotypes, subtypes, or strains of D. fragilis are associated with symptomatic infection in humans. Both asymptomatic and symptomatic infection (e.g., with various nonspecific gastrointestinal symptoms) have been reported. The reported clinical manifestations have sometimes been described as similar to those of colitis, appendicitis, or irritable bowel syndrome.
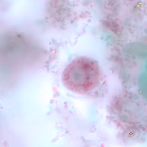
Dientamoeba fragilis binucleate trophozoites stained with trichrome
Dientamoeba fragilis is a flagellate that lacks external flagella and therefore must be morphologically differentiated from the small nonpathogenic amebae (e.g., Endolimax nana, Entamoeba hartmanni). Dientamoeba fragilis trophozoites measure 5 to 15 µm; cyst-like stages are rare. Pseudopodia are angular to broad-lobed and transparent. Although most trophozoites are binucleate, some have only one nucleus. The nucleus typically has a fragmented karyosome with discrete chromatin granules, and a thin nuclear membrane may be visible.
Dientamoeba fragilis uninucleate trophozoites stained with trichrome.
Although most D. fragilis trophozoites are binucleate, some have only one nucleus.
Laboratory Diagnosis
Infection typically is diagnosed by detection of D. fragilis trophozoites in fecal smears stained with trichrome or another permanent stain. The trophozoite stage of the parasite is not usually detectable if stool concentration methods are used. Dientamoeba fragilis trophozoites can easily be overlooked or misidentified because they are pale-staining and their nuclei sometimes resemble those of Endolimax nana or Entamoeba hartmanni.
More on: Morphologic comparison with other intestinal parasites.
Laboratory results, including prevalence rates, based on real-time PCR analysis should be approached with caution because of the performance variability across platforms and the potential for low specificity.
Laboratory Safety
Standard precautions for processing stool specimens apply.
Suggested Reading
Garcia, L.S., 2016. Dientamoeba fragilis, one of the neglected intestinal protozoa. Journal of Clinical Microbiology, 54, pp. 2243–2250.
Stark, D., Barratt, J., Chan, D. and Ellis, J.T., 2016. Dientamoeba fragilis, the neglected trichomonad of the human bowel. Clinical Microbiology Reviews, 29(3), pp.553–580.
Stark D, Garcia LS, Barratt JLN, Phillips O, Roberts T, Marriot D, Harkness J, Ellis JT, 2014. Description of Dientamoeba fragilis cyst and precystic forms from human samples. Journal of Clinical Microbiology, 52, pp. 2680–2683.
DPDx is an educational resource designed for health professionals and laboratory scientists. For an overview including prevention, control, and treatment visit www.cdc.gov/parasites/.
