
Dioctophymiasis
[Dioctophyme renale]
Causal Agent
Dioctophyme (=Dioctophyma) renale, the giant kidney worm, is the largest known parasitic nematode infecting humans — adult females can reach over one meter in length. The genus has been spelled as both “Dioctophyma” and “Dioctophyme”. Human infections are very rare.
Life Cycle
Unembryonated eggs are shed in the urine of the definitive host
and L1 larvae develop inside the egg after about a month in water
. After being eaten by the invertebrate intermediate host (oligochaete worms), the eggs hatch in the digestive tract and mature into L3 larvae after two molts (usually 2—3 months at 20—30°C). If the intermediate host is eaten by a paratenic host, the L3 larvae encyst in tissue and do not develop any further
. Most commonly, the definitive host becomes infected after eating a paratenic host with encysted L3 larvae
Consuming infected invertebrate intermediate hosts may also establish infection, but is probably not the major infection route in nature
. After being ingested by the definitive host, the infective larvae migrate through the gastric wall to the liver, and eventually to the kidney (typically the right kidney). Larvae become adults approximately six months after ingestion by the definitive host.
Humans may also become infected after eating undercooked paratenic hosts
. Although humans may serve as definitive hosts with kidney infections, often the larvae migrate aberrantly, eventually becoming encapsulated in subcutaneous nodules and ceasing further development.
Hosts
Mustelids (particularly minks) serve as the usual definitive hosts for Dioctophyme renale, although infections with adult worms also occur in wild and domestic canids, otters, martens, and raccoons. Rarely, other mammals, including herbivores and humans can become infected.
Aquatic oligochaete worms (e.g. Lumbriculus variegatus), also known as “blackworms”, are known to be intermediate hosts. A number of freshwater fish and amphibian species can act as paratenic hosts.
Geographic Distribution
Dioctophyme renale has a broad and likely worldwide distribution in carnivores, although little is known about its occurrence in Africa. Zoonotic infections have been reported from the United States, Iran, India, China, and Indonesia. It has been suggested that the single case report of D. renale infection from Australia is a misidentification of Leisegang rings, a specific formation of mineral precipitates in the kidney and other organs that can be mistaken for eggs of D. renale.
Clinical Presentation
Most of the earlier reports of dioctophymiasis in humans involved the finding of eggs or adult worms expelled in urine, usually accompanied by hematuria, and sometimes abdominal pain, fever, and eosinophilia. Adult worms have been found in the right kidney, left kidney, both kidneys, retroperitoneal space, and liver. There is one report of a worm rupturing through the body wall (fistula) from an abscessed kidney. There are a few more recent reports of L3 larvae being found in migratory, subcutaneous nodules.
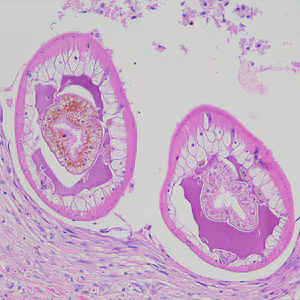
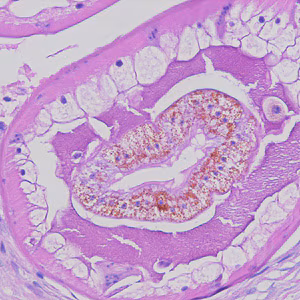
Adult Dioctophyme renale
Both sexes of Dioctophyme renale are large (females 20—100 cm long, 4—12 mm wide; males 14—45 cm long, 4—6 mm wide), bright red, robust nematodes in their adult stages. Males have a bell-shaped bursa with a single spicule. Kidneys infected with D. renale are often reduced to a hollow capsule surrounding the adult worms.
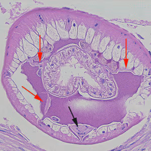
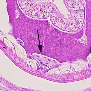
The images below were provided courtesy of Dr. John Gilleard, Faculty of Veterinary Medicine, Host-Parasite Interactions Group, University of Calgary.
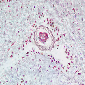
Larvae of Dioctotphyme renale in human tissue.
Laboratory Diagnosis
Identification of eggs in urine, or adult worms which are sometimes spontaneously expelled in urine. Adults may also be found during laparotomy or hysterectomy (or necropsy) when in the abdominal cavity. L3 larvae in subcutaneous nodules may be observed in stained tissue sections.
Laboratory Safety
Standard laboratory precautions apply for the examination of tissue sections.
Suggested Reading
Li, G., Liu, C., Li, F., Zhou, M., Liu, X. and Niu, Y., 2010. Fatal bilateral dioctophymatosis. Journal of Parasitology, 96 (6), pp.1152-1154.
Tuur, S.M., Nelson, A.M., Gibson, D.W., Neafie, R.C., Johnson, F.B., Mostofi, F.K. and Connor, D.H., 1987. Liesegang rings in tissue. How to distinguish Liesegang rings from the giant kidney worm, Dioctophyma renale. The American Journal of Surgical Pathology, 11(8), pp.598-605.
Katz, L. B., & Ehya, H., 1990. Liesegang rings in renal cyst fluid. Diagnostic Cytopathology 6(3), pp.197-200.
DPDx is an educational resource designed for health professionals and laboratory scientists. For an overview including prevention, control, and treatment visit www.cdc.gov/parasites/.
