
Dipylidium caninum
[Dipylidium caninum]
Causal Agent
Dipylidium caninum is a common tapeworm of dogs and cats, but is occasionally found in humans. It has many common names including the “flea tapeworm”, “cucumber tapeworm”, and “double-pored tapeworm”.
Life Cycle
Gravid proglottids are passed intact in the feces or emerge from the perianal region of the host
. In the environment, the proglottids disintegrate and release egg packets, which are also occasionally found free in the feces
. The intermediate host (most often larval stages of the dog or cat flea Ctenocephalides spp.) ingests egg packets, and the oncosphere within is released into the larval flea’s intestine. The oncosphere penetrates the intestinal wall, invades the insect’s hemocoel (body cavity), and develops into a cysticercoid
. The cysticercoid remains in the flea as it matures from a larva into an adult
. The vertebrate host becomes infected by ingesting the adult flea containing the cysticercoid
. In the small intestine of the vertebrate host, the cysticercoid develops into the adult tapeworm after about one month. The adult tapeworms (measuring up to 60 cm in length and 3 mm in width) reside in the small intestine of the host, where they each attach by their scolex
. Gravid, double-pored proglottids detach from the strobila (body) and are shed in the feces.
Humans also acquire infection by ingesting the cysticercoid contaminated flea. Children are most frequently infected, possibly due to close contact with flea-infested pets
.
Hosts
Canids and felids are the normal hosts for Dipylidium caninum. The intermediate host is usually the larval stages of the dog or cat flea (Ctenocephalides spp.) and occasionally Trichodectes canis (the dog louse).
Geographic Distribution
Worldwide; this tapeworm is ubiquitous and common among pet dogs and cats. Human infection is rare, but has been reported from every inhabited continent.
Clinical Presentation
Most infections with Dipylidium caninum are asymptomatic. Pets may exhibit behavior to relieve anal pruritis (such as scraping anal region across grass or carpeting). Mild gastrointestinal disturbances may occur. The most striking feature in animals and children consists of the passage of proglottids. These can be found in the perianal region, in the feces, on diapers, and occasionally on floor covering and furniture. The proglottids are motile when freshly passed and may be mistaken for maggots or fly larvae.
Dipylidium caninum egg packets in wet mounts.
D. caninum eggs are round to oval (average size 35 to 40 µm; range 31 to 50 µm by 27 to 48 µm) and contain an oncosphere that has 6 hooklets. Proglottids of D. caninum contain characteristic egg packets that are round to ovoid and contain 5 to 15 or more eggs each.
D. caninum eggs in wet mounts under conventional and differential interference contrast microscopy.
D. caninum proglottids.
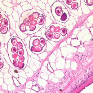
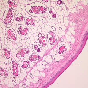
Cross-section of a D. caninum proglottid stained with hematoxylin and eosin (H&E).
D. caninum scolex.
The scolex of Dipylidium caninum is conical-shaped and has four suckers. There is also a retractable rostellum armed with several rings of small rose thorn-shaped hooks, used for anchoring into the host’s tissue.
Adult tapeworm of D. caninum.
Diagnostic Findings
The diagnosis is made by demonstrating the typical proglottids or egg packets in the stool or the environment. Although concentration methods are usually not necessary due to the large size of the proglottids, flotation methods may miss infections as egg packets are heavy and may fail to float.
Laboratory Safety
Standard precautions for the processing of stool samples. D. caninum eggs are not infectious to humans.
Suggested Reading
Molina, C.P., Ogburn, J. and Adegboyega, P., 2003. Infection by Dipylidium caninum in an infant. Archives of pathology & laboratory medicine, 127(3), pp.e157-e159.
DPDx is an educational resource designed for health professionals and laboratory scientists. For an overview including prevention, control, and treatment visit www.cdc.gov/parasites/.
