
Case #154 – April, 2005
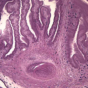
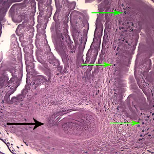
A 49-year-old male immigrant from Mexico was seen at a local medical facility specializing in neural disorders for frequent headaches and occasional seizures. Figures A and B show what was observed on a hematoxylin and eosin (H & E) stained section of lesions detected in the right frontal lobe of his brain. Figure A was taken at 40× magnification and Figure B was taken at 100× magnification. What is your diagnosis? Based on what criteria?

Figure A

Figure B
Images presented in the DPDx case studies are from specimens submitted for diagnosis or archiving. On rare occasions, clinical histories given may be partly fictitious.
DPDx is an educational resource designed for health professionals and laboratory scientists. For an overview including prevention, control, and treatment visit www.cdc.gov/parasites/.

