
Case #184 – July, 2006
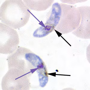
A patient went to a local hospital with fevers and thrombocytopenia after recent travel to Haiti. A blood smear examination was requested by the attending physician. Figure A shows what was seen on a Wrights-Giemsa stained thin blood smear; the image was taken in a thicker area of the smear and low numbers of these objects were found in the smears. What is your diagnosis? Based on what criteria?

Figure A
This case was kindly contributed by the Florida State Public Health Laboratory, Miami Regional laboratory.
Images presented in the DPDx case studies are from specimens submitted for diagnosis or archiving. On rare occasions, clinical histories given may be partly fictitious.
DPDx is an educational resource designed for health professionals and laboratory scientists. For an overview including prevention, control, and treatment visit www.cdc.gov/parasites/.
