
Case #197 – February, 2007
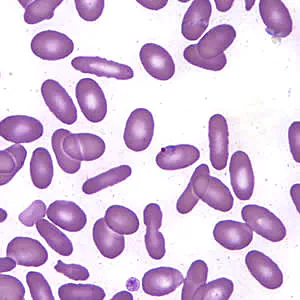
The Division of Parasitic Diseases’ reference diagnostic laboratory received a specimen from a state health department for confirmatory review. The only patient information given was that the patient had traveled to Nigeria. Figures A-C show what was seen on a stained thin blood smear. What is your diagnosis? Based on what criteria?

Figure A

Figure B

Figure C
Images presented in the DPDx case studies are from specimens submitted for diagnosis or archiving. On rare occasions, clinical histories given may be partly fictitious.
DPDx is an educational resource designed for health professionals and laboratory scientists. For an overview including prevention, control, and treatment visit www.cdc.gov/parasites/.