
Case #205 – June, 2007
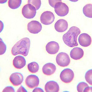
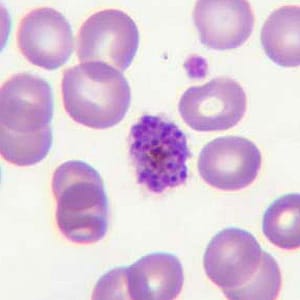
A 30-year-old man from Sudan had fever and chills. He was also mildly jaundiced. He went to his physician who ordered a blood smear examination. Smears were made and stained with Leishman’s stain. Figures A-E were captured from the thin smears. What is your diagnosis? Based on what criteria?

Figure A

Figure B

Figure C

Figure D

Figure E
This case and images were kindly contributed by Dr. CSBR Prasad, Vindhya Clinic and Diagnostic Lab, India.
Images presented in the DPDx case studies are from specimens submitted for diagnosis or archiving. On rare occasions, clinical histories given may be partly fictitious.
DPDx is an educational resource designed for health professionals and laboratory scientists. For an overview including prevention, control, and treatment visit www.cdc.gov/parasites/.