
Case #209 – August, 2007
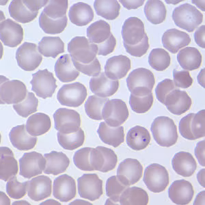
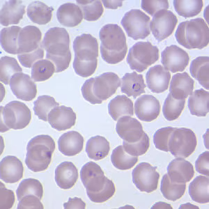
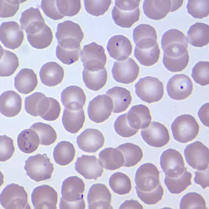
A 54-year-old Haitian man was admitted to a hospital emergency room with back pain and fever. Blood was collected, and slides were made and stained with Giemsa. Figures A-D show what was observed on a stained slide at 1000× magnification using oil immersion. These images were submitted to DPDx for diagnostic confirmation. What is your diagnosis? Based on what criteria?

Figure A

Figure B

Figure C

Figure D
This case and images were kindly contributed by the Florida Department of Health, Bureau of Laboratories.
Images presented in the DPDx case studies are from specimens submitted for diagnosis or archiving. On rare occasions, clinical histories given may be partly fictitious.
DPDx is an educational resource designed for health professionals and laboratory scientists. For an overview including prevention, control, and treatment visit www.cdc.gov/parasites/.