
Case #225 – April, 2008
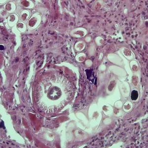
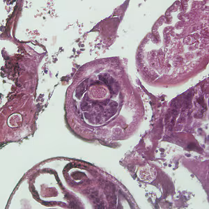
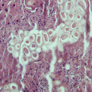
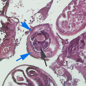
An 8-year-old child was taken to a hospital with fever, hepatomegaly, and persistent cough. The parents told the physician that the child commonly eats dirt, even though they have tried to discourage the habit. A series of tests were conducted, including a liver biopsy. A section made from the biopsy was stained with hematoxylin and eosin (H&E). The following images show what was observed in the specimen. Figures A, B, and C were taken at 200x magnification; Figure D was taken at 1000x oil magnification. The structures shown in Figure D were approximately 57 micrometers long by 32 micrometers wide. What is your diagnosis? Based on what criteria?

Figure A

Figure B

Figure C

Figure D
Images presented in the DPDx case studies are from specimens submitted for diagnosis or archiving. On rare occasions, clinical histories given may be partly fictitious.
DPDx is an educational resource designed for health professionals and laboratory scientists. For an overview including prevention, control, and treatment visit www.cdc.gov/parasites/.
