
Case #243 – January, 2009
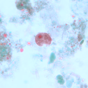
A ten-year-old child returned from summer camp with abdominal discomfort, nausea and diarrhea. He was taken to his pediatrician and a stool specimen was collected for routine work-up, including ova and parasite (O&P) examination. Figures A–D show what was observed on a trichrome-stained slide prepared from a PVA-preserved aliquot of the stool. The objects in Figures A and B measured approximately 11 micrometers; the objects in Figures C and D measured approximately seven micrometers. What is your diagnosis? Based on what criteria?

Figure A

Figure B

Figure C

Figure D
Images presented in the DPDx case studies are from specimens submitted for diagnosis or archiving. On rare occasions, clinical histories given may be partly fictitious.
DPDx is an educational resource designed for health professionals and laboratory scientists. For an overview including prevention, control, and treatment visit www.cdc.gov/parasites/.