
Case #267 – January, 2010
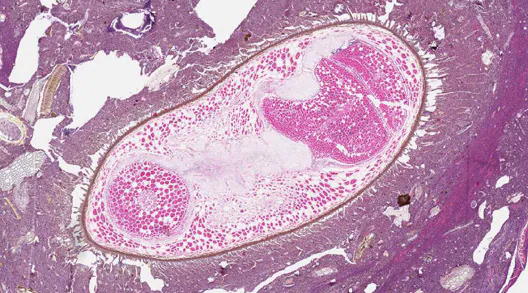
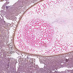
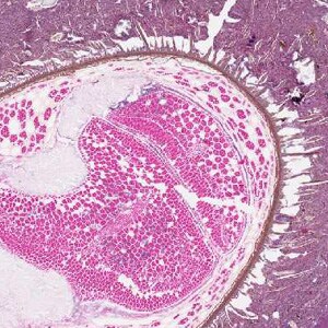
A 13-year-old patient went to the doctor for abdominal pain and discomfort. Although there was no acute appendicitis, a small biopsy of the lumen of the appendix was performed to identify possible etiologies. The specimen was sectioned, stained with hematoxylin and eosin (H&E) and sent to a pathologist for examination. Digital images were taken by the pathologist and sent to DPDx for diagnostic assistance. Figure A shows what was observed on the slide (no size was given). Figures B and C show close-ups of the two ends of the object. What is your diagnosis? Based on what criteria?

Figure A

Figure B

This case and images were kindly provided by the Children’s Hospital of Eastern Ontario, Ottawa, Canada.
Images presented in the DPDx case studies are from specimens submitted for diagnosis or archiving. On rare occasions, clinical histories given may be partly fictitious.
DPDx is an educational resource designed for health professionals and laboratory scientists. For an overview including prevention, control, and treatment visit www.cdc.gov/parasites/.