
Case #280 – July, 2010
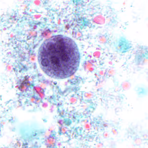
A 35-year-old woman went to her health care provider with complaints of abdominal pain, cramps and diarrhea. She told her doctor that she had recently returned from a business trip to Mexico. Stool was collected in 10% formalin and polyvinyl alcohol (PVA) for routine ova-and-parasite (O&P) examination. Figures A–D show what was observed at 1000x magnification on a trichrome-stained slide made from the PVA-preserved stool. The objects of interest measured on average 15-17 micrometers in diameter. What is your diagnosis? Based on what criteria?

Figure A

Figure B

Figure C

Figure D
Images presented in the DPDx case studies are from specimens submitted for diagnosis or archiving. On rare occasions, clinical histories given may be partly fictitious.
DPDx is an educational resource designed for health professionals and laboratory scientists. For an overview including prevention, control, and treatment visit www.cdc.gov/parasites/.