
Case #290 – December, 2010
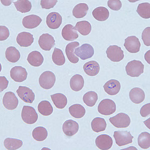
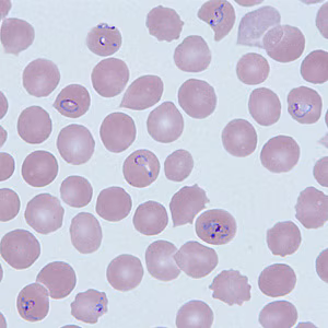
A 31-year-old man was admitted to a local hospital with fever, chills, myalgia, and fatigue. His travel history included a two week work-related trip to Cambodia and a one week vacation in Connecticut immediately after that trip. His symptoms began about 3 days after returning from Connecticut. He indicated that he did take anti-malarial prophylaxis while in Cambodia but failed to take the remainder of his medication before going to Connecticut. Blood smears were ordered, stained with Giemsa, and examined. Figures A–D show what was observed at 1000x oil magnification. What is your diagnosis? Based on what criteria?

Figure A

Figure B

Figure C

Figure D
Images presented in the DPDx case studies are from specimens submitted for diagnosis or archiving. On rare occasions, clinical histories given may be partly fictitious.
DPDx is an educational resource designed for health professionals and laboratory scientists. For an overview including prevention, control, and treatment visit www.cdc.gov/parasites/.