
Case #353 – August, 2013
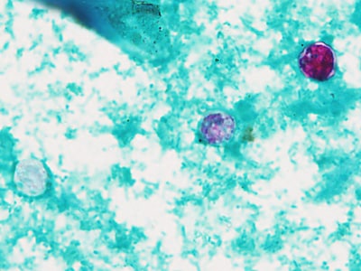
A 27-year-old man sought medical assistance for gastrointestinal symptoms that included watery diarrhea, abdominal pain, and fatigue. He reported no international travel within the last year. A fecal specimen was collected in zinc-PVA (polyvinyl alcohol) for ova-and-parasite (O&P) testing. A smear was prepared and stained with trichrome stain. Figures A–C show what was observed in moderately high numbers on the smear. What is your diagnosis? Based on what criteria?

Figure A

Figure B

Figure C
Images presented in the DPDx case studies are from specimens submitted for diagnosis or archiving. On rare occasions, clinical histories given may be partly fictitious.
DPDx is an educational resource designed for health professionals and laboratory scientists. For an overview including prevention, control, and treatment visit www.cdc.gov/parasites/.

