
Case #369 – April 2014
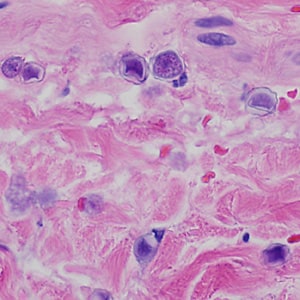
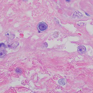
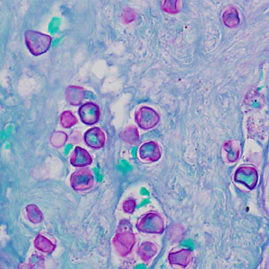
A 24-year-old male with a history of granulomatous immunodeficiency had biopsy specimens taken of skin lesions on his right forearm (Figure A). Specimens were submitted to Pathology for routine histological work-up. Slides were examined by the attending pathologist and images were captured and sent to the DPDx Team for diagnostic assistance. Figures B–E show what was observed by the attending pathologist from the superficial and mid-dermis. Figure B is from a biopsy specimen stained with Gomori methenamine silver (GMS). Figures C and D are from hematoxylin-and-eosin (H&E) stained sections. Figure E is from a section stained with periodic acid-Schiff (PAS). What is your diagnosis? Based on what criteria?

Figure A

Figure B

Figure C

Figure D

Figure E
This case and images were kindly provided by The University of Michigan Department of Pathology.
Images presented in the DPDx case studies are from specimens submitted for diagnosis or archiving. On rare occasions, clinical histories given may be partly fictitious.
DPDx is an educational resource designed for health professionals and laboratory scientists. For an overview including prevention, control, and treatment visit www.cdc.gov/parasites/.