
Case #386 – December 2014
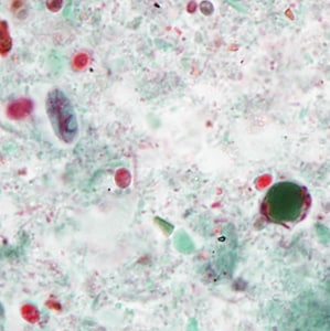
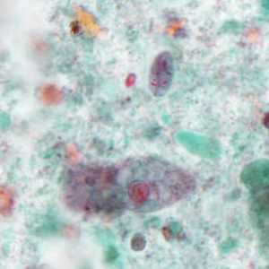
For the last Monthly Case Study for 2014, the DPDx Team thought we would fill your holiday stockings with a plethora of parasites! The following images were taken from a trichrome-stained stool specimen collected from a Haitian refugee. The original report documented several intestinal protozoa. How many can you identify?

Figure A

Figure B

Figure C

Figure D

Figure E

Figure F
Images presented in the DPDx case studies are from specimens submitted for diagnosis or archiving. On rare occasions, clinical histories given may be partly fictitious.
DPDx is an educational resource designed for health professionals and laboratory scientists. For an overview including prevention, control, and treatment visit www.cdc.gov/parasites/.




