
Case #400 – July 2015
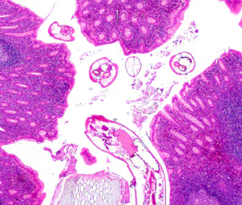
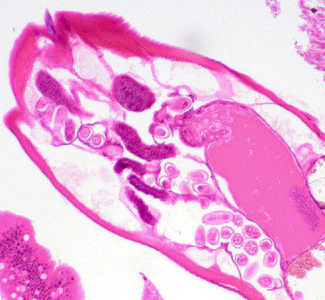
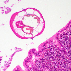
A ten-year-old boy presented at a local hospital with symptoms mimicking an appendicitis. An appendectomy was performed and biopsy specimens were sent to Pathology for routine histologic work-up. Objects suggestive of a parasite were observed by the attending pathologist. Figures A–E show what was observed on a slide stained with hematoxylin-and-eosin (H&E). What is your diagnosis? Based on what criteria?

Figure A

Figure B

Figure C

Figure D

Figure E
This case and images were kindly provided by the University of Miami Health System/Jackson Memorial Hospital, Miami, FL.
Images presented in the DPDx case studies are from specimens submitted for diagnosis or archiving. On rare occasions, clinical histories given may be partly fictitious.
DPDx is an educational resource designed for health professionals and laboratory scientists. For an overview including prevention, control, and treatment visit www.cdc.gov/parasites/.
