
Case #500 – September, 2019
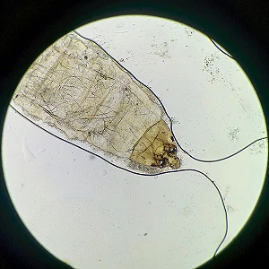
A 35-year-old female resident of India presented with complaints of bilateral flank pain, which had occurred over the past six months. She also had a history of fever for one month and reported painful urination. The patient noticed worms being passed in her urine eight days prior to seeking medical attention. Images were taken of one of the worms (Figures A–D) and sent to CDC/DPDx for diagnostic assistance. What is your diagnosis? Based on what criteria?
- This case and images were kindly provided by the Bhakti Vendanti Hospital and Research Institute Campus.

Figure A

Figure B

Figure C

Figure D
Images presented in the dpdx case studies are from specimens submitted for diagnosis or archiving. On rare occasions, clinical histories given may be partly fictitious.
DPDx is an educational resource designed for health professionals and laboratory scientists. For an overview including prevention, control, and treatment visit www.cdc.gov/parasites/.