
Case #507 – January, 2020
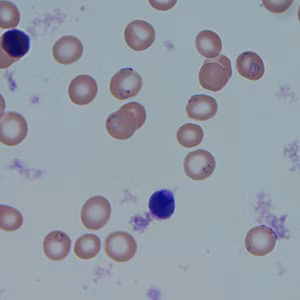
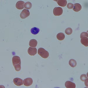
A 63-year-old man returned from visiting with family in Nigeria. He developed fever, chills and a mild headache three days before presenting to the clinic. A medical evaluation revealed that he also had not taken any drug prophylaxis prior to or during his visit. A blood smear was ordered and stained with Giemsa. Figures A and B (thick smears) and C and D (thin smears) show what was observed. What is your diagnosis? Based on what criteria?
(This case and images were kindly provided by the NV-Southern Nevada Health District Office of Epidemiology.)

Figure A

Figure B

Figure C

Figure D
Images presented in the dpdx case studies are from specimens submitted for diagnosis or archiving. On rare occasions, clinical histories given may be partly fictitious.
DPDx is an educational resource designed for health professionals and laboratory scientists. For an overview including prevention, control, and treatment visit www.cdc.gov/parasites/.