
Case #517 – June, 2020
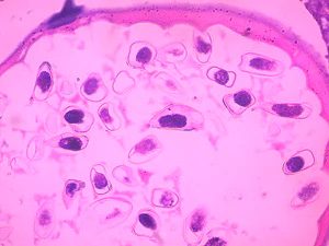
An 18-year-old male living in India presented with recurrent periumbilical abdominal pain for one week. Other symptoms included mild anemia and eosinophilic leukocytosis. The patient underwent an appendectomy and the appendix was sent to pathology. Sections were obtained, stained with hematoxylin and eosin (H & E) and reviewed. A worm was discovered in the lumen of the appendix and Figure A shows a low magnification view of a cross-section of the worm in the lumen. Figure B shows a higher magnification of the cross-section and Figure C highlights ova observed in utero. What is your diagnosis? Based on what features?
This case and images were kindly provided by Dr. CSBR Prasad, Sri Devaraj Urs Medical College, Karnataka

Figure A

Figure B

Figure C
Images presented in the dpdx case studies are from specimens submitted for diagnosis or archiving. On rare occasions, clinical histories given may be partly fictitious.
DPDx is an educational resource designed for health professionals and laboratory scientists. For an overview including prevention, control, and treatment visit www.cdc.gov/parasites/.