
Myiasis
[Cochliomyia hominovorax] [Dermatobia hominis] [Cuterebra spp.] [Oestrus ovis] [Cordylobia anthropophaga]
[Lucilia spp.] [Phormia regina]
Causal Agent
Myiasis is infection with the larval stage (maggots) of various flies. Flies in several genera may cause myiasis in humans. Dermatobia hominis is the primary human bot fly. Cochliomyia hominovorax is the primary screwworm fly in the New World and Chrysomya bezziana is the Old World screwworm. Cordylobia anthropophaga is known as the tumbu fly. Flies in the genera Cuterebra, Oestrus and Wohlfahrtia are animal parasites that also occasionally infect humans.

Adults of Dermatobia hominis are free-living flies
. Adults capture blood-sucking arthropods (such as mosquitoes) and lay eggs on their bodies, using a glue-like substance for adherence
. Bot fly larvae develop within the eggs, but remain on the vector until it takes a blood meal from a mammalian or avian host. Newly-emerged bot fly larvae then penetrate the host’s tissue
. The larvae feed in a subdermal cavity
for 5-10 weeks, breathing through a hole in the host’s skin. Mature larvae drop to the ground
and pupate in the environment. Larvae tend to leave their host during the night and early morning, probably to avoid desiccation. After approximately one month, the adults emerge
to mate and repeat the cycle. Other genera of myiasis-causing flies (including Cochliomyia, Cuterebra, and Wohlfahrtia) have a more direct life cycle, where the adult flies lay their eggs directly in, or in the vicinity of, wounds on the host
. In Cochliomyia and Wohlfahrtia infestations, larvae feed in the host for about a week, and may migrate from the subdermis to other tissues in the body, often causing extreme damage in the process.
Geographic Distribution
Dermatobia hominis and C. hominovorax are Neotropical species, ranging from Mexico into South America. The Congo floor maggot (Auchmeromyia luteola) and Cordylobia anthropophaga are distributed in Africa south of the Sahara. Wohlfahrtia magnifica occurs in the Mediterranean basin, Near East, and Central and Eastern Europe; W. vigil occurs in northern United States and Canada. Cuterebra species are found in the New World. Oestrus ovis is found throughout the world in areas where sheep are tended.
Clinical Presentation
Infestations with D. hominis are often characterized by cutaneous swellings on the body or scalp that may produce discharges and be painful. Death is rare, but there have been instances of cerebral myiasis in children where larvae enter the brain. Infestations with C. hominovorax, which causes wound myiasis, can be more serious, as this species may travel through living tissue in the body and not stay subdermal like most of the other species of flies that cause myiasis. Death has occurred with severe infestations of C. hominovorax. Secondary bacterial infections may also occur. Oestrus ovis has been known to cause a condition called ophthalmomyiasis, which is infection of the eye with fly larvae. Flies in the genera Phormia and Phaenicia cause facultative myiasis, where adult flies lay their eggs in pre-existing, festering wounds and do not invade healthy, living tissue.
Cochliomyia hominovorax.
Cochliomyia hominovorax is the primary screwworm fly in the New World. Larvae are obligate parasites of living flesh in humans and other mammals. Human cases are not common but may be seen in regions where livestock is tended. Female flies oviposit on or near pre-existing wounds or on mucous membranes just inside the nose or mouth. Larvae feed subdermally and may cause extensive tissue damage. Human deaths have occurred from tissue destruction. Human cases have been drastically reduced in the United States and Mexico by a sterile male release program. Females mate only once, so mating with a sterile male ensures the next generation will not happen.
Dermatobia hominis.
Dermatobia hominis is known as the human bot fly, although bot flies in other genera may also infect humans. Adults are large, approximately 15 mm in length. Adults catch a female mosquito and lay their eggs on her body. The first instar larvae remain on the mosquito until it takes a blood meal from a human host. The larvae then leave the mosquito and penetrate the human host’s skin. Larvae feed inside a subdermal cavity for 5-10 weeks. When mature, they burrow out of the skin, drop to the ground and pupate. After about a month, adults emerge and continue the cycle. Dermatobia hominis occurs in Mexico and Central and South America and may infect a variety of mammals.
Cuterebra spp.
Members of the genus Cuterebra are primarily parasites of rodents and lagomorphs. Human infection is rare but has been reported.
Oestrus ovis.
Oestrus ovis is the nose bot fly of sheep. Human infections are rare, but may be found in sheep-raising regions of the world.
Cordylobia anthropophaga.
Cordylobia anthropophaga is also known as the tumbu fly. The member of the family Calliphoridae is distributed in tropical Africa. The larvae cause a furuncular type of myiasis when burrowing in the host’s subcutaneous tissue. Full-grown larvae are usually 13-15 mm in length. The posterior spiracles open through three sinuous slits.
Phormia regina.
Phormia regina is an agent of facultative myiasis, whereby adult flies lay eggs in pre-existing, festering wounds. Unlike other agents of myiasis, they do not invade healthy, living tissue. This species is another member of the Calliphoridae and is common throughout the northern hemisphere.
Lucilia spp.
Members of the genus Lucilia are also agents of facultative myiasis in humans, whereby adult flies lay eggs in pre-existing, festering wounds. Unlike other agents of myiasis, they do not invade healthy, living tissue. Larvae are characterized by a complete peritreme, three straight slits in each posterior spiracle, and mandibles without an accessory sclerite.
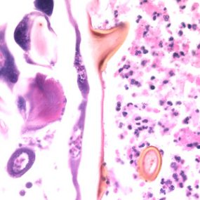
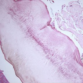
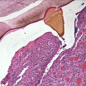
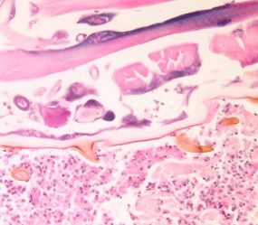
Myiasis in tissue specimens.
Fly larvae in tissue specimens (myiasis) stained with hematoxylin and eosin (H&E).
Adults of flies that cause myiasis in humans.
Adults of flies known to cause myiasis in humans.
Diagnostic Findings
The diagnosis of myiasis is made by the finding of fly larvae in tissue. Identification to the genus or species level involves comparing certain morphological structures on the larvae, including the anterior and posterior spiracles, mouthparts and cephalopharyngeal skeleton, and cuticular spines. Travel history can also be helpful for genus or species-level identification.
Treatment Information
Treatment information for myiasis can be found at:
DPDx is an educational resource designed for health professionals and laboratory scientists. For an overview including prevention, control, and treatment visit www.cdc.gov/parasites/.