
Non-pathogenic Flagellates
[Enteromonas hominis][Retortamonas intestinalis][Pentatrichomonas hominis]
Causal Agents
The flagellates Enteromonas hominis, Retortamonas intestinalis, and Pentatrichomonas hominis are considered non-pathogenic. These are less frequently encountered than Chilomastix mesnili, another non-pathogenic flagellates. The presence of cysts and/or trophozoites in stool indicates exposure to fecal contamination.
Life Cycle
Both cysts and trophozoites of Enteromonas hominis and Retortamonas intestinalis are shed in feces; only trophozoites of Pentatrichomonas hominis (no known cyst stage) are shed in feces
. Infection occurs after the ingestion of cysts (E. hominis, R. intestinalis)
or trophozoites (P. hominis)
in fecally contaminated food or water, or on fomites. Excystation of E. hominis and R. intestinalis releases trophozoites into the large intestine; P. hominis is found as a trophozoite throughout its life cycle. These three species colonize and replicate in the large intestine, where they are regarded as commensal organisms and are not known to cause disease.
Hosts
Humans are the primary host for all three of the discussed flagellates. Occasionally these species are found in apes and monkeys.
Geographic Distribution
Non-pathogenic flagellates occur worldwide, and are more prevalent in areas with inadequate sanitation leading to fecal contamination. Retortamonas intestinalis is the least frequently encountered among the three species discussed here.
Clinical Presentation
Enteromonas hominis, R. intestinalis, and P. hominis are considered non-pathogenic. The presence of cysts and/or trophozoites in stool specimens can however be an indicator of fecal contamination of a food or water source, and thus does not rule out other parasitic infections.
Cysts of Enteromonas hominis are ellipsoidal, measuring 4-8 µm long by 3-5 µm wide. Cysts may contain one, two or four nuclei, with binucleate forms being the most common. In binucleate forms, the nuclei are often at opposite polar ends of the cyst; in forms with four nuclei, they are often paired at opposite ends. Nuclei possess a large, central karyosome, often surrounded by a clear area, and do not contain peripheral chromatin.
Trophozoites of Retortamonas intestinalis are ovoid or pyriform and measure 4—10 µm long by 3—8 µm wide. They possess two flagella, one directed anteriorly and one extending posteriorly. A cytostome is present at the anterior half of the trophozoite and is bordered by a fibril. The single, spherical nucleus is located at the anterior end and contains a small karyosome and a fine layer of peripheral chromatin.
Cysts of Retortamonas intestinalis are ovoid or pyriform and measure 4—7 µm long by 3—5 µm wide. Mature cysts contain a single nucleus, with a compact central karyosome and varying amounts of peripheral chromatin. The fibril associated with the cytostome may be been seen in close proximity to the nucleus.
There is no known cyst stage for Pentatrichomonas hominis. Trophozoites are pyriform in shape, measuring 6—20 µm long. They possess five flagella: four directed anteriorly and a fifth directed posteriorly, that forms the outer edge of the undulating membrane and projects beyond the posterior as a free flagellum. The axostyle is slender and projects from the posterior end. The single nucleus is located at the anterior end and contains a small karyosome.
Laboratory Diagnosis
Enteromonas hominis, R. intestinalis, and P. hominis are identified through the detection of cysts and/or trophozoites in stool specimens. Identification is best accomplished by direct wet mounts of freshly produced stool that reveal the characteristic motility of the organisms. Enteromonas hominis trophozoites present with a distinctive “jerky” slowly directional motility in fresh stool specimens, R. intestinalis trophozoites exhibit rapidly directional corkscrew motility, while P. hominis trophozoites generally do not have directional motility, rather being stationary but exhibiting marked rapid undulations of the cytoplasmic membrane (compare these to the stiff, rotary movement of Chilomastix mesnili or the “falling leaf” motility of Giardia duodenalis).
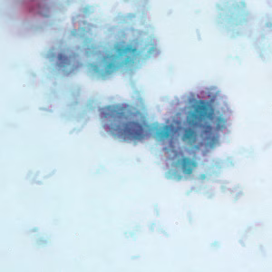
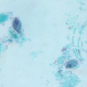
These protozoa may also be identified in permanent stained smears, although their affinities for stain are inconsistent and individual flagella may not be readily visible. Pentatrichomonas hominis trophozoites degrade rapidly and timely fixation after passage is required to detect trophozoites in permanently stained slides.
Laboratory Safety
While the discussed intestinal flagellates are not pathogenic, cysts and/or trophozoites are potentially infectious so standard precautions for processing stool samples should be followed.
Suggested Reading
Bradbury, R.S., Males, C.R. and Thomas, A., 2010. Morphological observations on Pentatrichomonas hominis, Enteromonas hominis and ‘Rodentolepis nana‘. Annals of the ACTM: An International Journal of Tropical and Travel Medicine, 11(1), p.24.
Despommier, D.D., Gwadz, R.W. and Hotez, P.J., 1995. Nonpathogenic Protozoa. In Parasitic Diseases (pp. 230-234). Springer, New York, NY.
DPDx is an educational resource designed for health professionals and laboratory scientists. For an overview including prevention, control, and treatment visit www.cdc.gov/parasites/.
