
Pentatrichomonas hominis
[Pentatrichomonas hominis]
Causal Agents
Pentatrichomonas hominis, a nonpathogenic flagellate.
Life Cycle
, as there is no known cyst stage for this species. Infection occurs after the ingestion of trophozoites in fecal-contaminated food or water, or on fomites
. Pentatrichomonas resides in the large intestine, where it is regarded as a commensal and is not known to cause disease.
Geographic Distribution
Worldwide
Clinical Presentation
Pentatrichomonas hominis is considered nonpathogenic. The presence of trophozoites in stool specimens can however be an indicator of fecal contamination of a food or water source, and thus does not rule-out other parasitic infections.
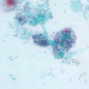
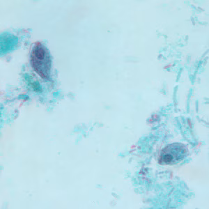
Pentatrichomonas hominis trophozoites.
Laboratory Diagnosis
Pentatrichomonas hominis is identified through the detection of trophozoites in stool specimens. Identification is best accomplished by direct wet mounts that reveal the characteristic, jerky movement of the organisms. They may also be identified in permanent stained smears, although their affinities for stain are inconsistent and with their small size are often overlooked.
Treatment Information
For information about treatment please contact CDC-INFO.
DPDx is an educational resource designed for health professionals and laboratory scientists. For an overview including prevention, control, and treatment visit www.cdc.gov/parasites/.