
Sarcocystosis
[Sarcocystis hominis] [Sarcocystis suihominis] [Sarcocystis spp.]
Causal Agents
Sarcocystis hominis and S. suihominis use humans as definitive hosts and are responsible for intestinal sarcocystosis in the human host. Humans may also become dead-end hosts for non-human Sarcocystis spp. after the accidental ingestion of oocysts.
Life Cycle

Both sporulated oocysts (containing two sporocysts) and individual sporocysts can be passed in stool
. Sporocysts contain four sporozoites and a refractile residual body. Sporocysts ingested by the intermediate host (cattle for S. hominis and pigs for S. suihominis) rupture, releasing sporozoites. Sporozoites enter endothelial cells of blood vessels and undergo schizogony, resulting in first-generation schizonts. Merozoites derived from the first-generation invade small capillaries and blood vessels, becoming second-generation schizonts. The second generation merozoites invade muscle cells and develop into sarcocysts containing bradyzoites, which are the infective stage for the definitive host
. Humans become infected when they eat undercooked meat containing these sarcocysts. Bradyzoites are released from ruptured cysts in the small intestine
and invade the lamina propria of the intestinal epithelium
. There, they differentiate into macro- and microgametocytes. Fusion of male and female gametes
results in the formation of oocysts
. Oocysts sporulate in the intestinal epithelium and are shed from the host in feces
. Due to the fragile nature of the oocyst wall, individual sporocysts may also be detected in feces.
Geographic Distribution
Worldwide, but more common in areas where livestock is raised.
Clinical Presentation
In cases of intestinal sarcocystosis, when humans serve as the definitive hosts, infections are often asymptomatic and clear spontaneously. Occasionally, mild fever, diarrhea, chills, vomiting and respiratory problems may occur. When humans become infected with sarcocysts of non-human species, the infections are not intestinal but rather result in muscle cysts; symptoms such as myalgia, muscle weakness and transitory edema may occur. In these cases, humans are dead-end intermediate hosts.
Sarcocystis oocysts in wet mounts.
Sarcocystis oocysts in wet mounts viewed under differential interference contrast (DIC).
Sarcocystis oocysts in wet mounts viewed under ultraviolet (UV) microscopy.
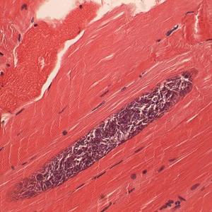
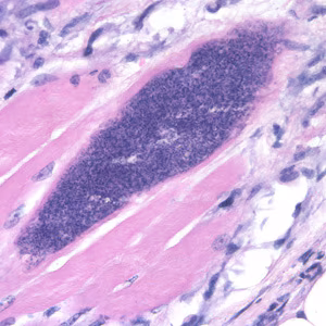
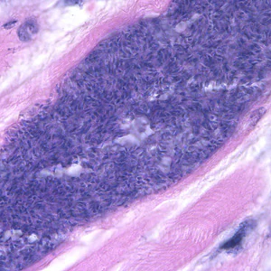
Sarcocystis sarcocysts in tissue.
Laboratory Diagnosis
For intestinal sarcocystosis caused by S. hominis and S. suihominis, diagnosis is made by the observation of oocysts or sporocysts in stool. They are easily overlooked as they are often shed in small numbers. Also, the two species cannot be separated by oocyst or sporocyst morphology. When humans serve as dead-end hosts for non-human Sarcocystis spp., diagnosis is made by the finding of sarcocysts in tissue specimens.
Treatment Information
Treatment information for sarcocystosis can be found at:
https://www.cdc.gov/sarcocystosis/hcp/clinical-care/index.html
DPDx is an educational resource designed for health professionals and laboratory scientists. For an overview including prevention, control, and treatment visit www.cdc.gov/parasites/.