
Schistosomiasis
[Schistosoma haematobium] [Schistosoma intercalatum] [Schistosoma japonicum] [Schistosoma mansoni] [Schistosoma mekongi]
Causal Agents
Schistosomiasis (Bilharziasis) is caused by some species of blood trematodes (flukes) in the genus Schistosoma. The three main species infecting humans are Schistosoma haematobium, S. japonicum, and S. mansoni. Three other species, more localized geographically, are S. mekongi, S. intercalatum, and S. guineensis (previously considered synonymous with S. intercalatum). There have also been a few reports of hybrid schistosomes of cattle origin (S. haematobium, x S. bovis, x S. curassoni, x S. mattheei) infecting humans. Unlike other trematodes, which are hermaphroditic, Schistosoma spp. are dioecous (individuals of separate sexes).
In addition, other species of schistosomes, which parasitize birds and mammals, can cause cercarial dermatitis in humans but this is clinically distinct from schistosomiasis.
Life Cycle
Schistosoma eggs are eliminated with feces or urine, depending on species
. Under appropriate conditions the eggs hatch and release miracidia
, which swim and penetrate specific snail intermediate hosts
. The stages in the snail include two generations of sporocysts
and the production of cercariae
. Upon release from the snail, the infective cercariae swim, penetrate the skin of the human host
, and shed their forked tails, becoming schistosomulae
. The schistosomulae migrate via venous circulation to lungs, then to the heart, and then develop in the liver, exiting the liver via the portal vein system when mature,
. Male and female adult worms copulate and reside in the mesenteric venules, the location of which varies by species (with some exceptions)
. For instance, S. japonicum is more frequently found in the superior mesenteric veins draining the small intestine
, and S. mansoni occurs more often in the inferior mesenteric veins draining the large intestine
. However, both species can occupy either location and are capable of moving between sites. S. intercalatum and S. guineensis also inhabit the inferior mesenteric plexus but lower in the bowel than S. mansoni. S. haematobium most often inhabitsin the vesicular and pelvic venous plexus of the bladder
, but it can also be found in the rectal venules. The females (size ranges from 7–28 mm, depending on species) deposit eggs in the small venules of the portal and perivesical systems. The eggs are moved progressively toward the lumen of the intestine (S. mansoni,S. japonicum, S. mekongi, S. intercalatum/guineensis) and of the bladder and ureters (S. haematobium), and are eliminated with feces or urine, respectively
.
Hosts
Various animals such as cattle, dogs, cats, rodents, pigs, horses, and goats, serve as reservoirs for S. japonicum, and dogs for S. mekongi. S. mansoni is also frequently recovered from wild primates in endemic areas but is considered primarily a human parasite and not a zoonosis.
Intermediate hosts are snails of the genera Biomphalaria, (S. mansoni), Oncomelania (S. japonicum), Bulinus (S. haematobium, S. intercalatum, S. guineensis). The only known intermediate host for S. mekongi is Neotricula aperta.
Geographic Distribution
Schistosoma mansoni is found primarily across sub-Saharan Africa and some South American countries (Brazil, Venezuela, Suriname) and the Caribbean, with sporadic reports in the Arabian Peninsula.
S. haematobium is found in Africa and pockets of the Middle East.
S. japonicum is found in China, the Philippines, and Sulawesi. Despite its name, it has long been eliminated from Japan.
The other, less common human-infecting species have relatively restricted geographic ranges. S. mekongi occurs focally in parts of Cambodia and Laos. S. intercalatum has only been found in the Democratic Republic of the Congo; S. guineensis is found in West Africa. Instances of infections with hybrid/introgressed Schistosoma (S. haematobium x S. bovis, x S. curassoni, x S. mattheei) have occurred in Corsica, France, and some West African countries.
Clinical Presentation
Symptoms of schistosomiasis are not caused by the worms themselves but by the body’s reaction to the eggs. Many infections are asymptomatic. A local cutaneous hypersensitivity reaction following skin penetration by cercariae may occur and appears as small, itchy maculopapular lesions. Acute schistosomiasis (Katayama fever) is a systemic hypersensitivity reaction that may occur weeks after the initial infection, especially by S. mansoni and S. japonicum. Manifestations include systemic symptoms/signs including fever, cough, abdominal pain, diarrhea, hepatosplenomegaly, and eosinophilia.
Occasionally, Schistosoma infections may lead to central nervous system lesions. Cerebral granulomatous disease may be caused by ectopic S. japonicum eggs in the brain, and granulomatous lesions around ectopic eggs in the spinal cord may occur in S. mansoni and S. haematobium infections. Continuing infection may cause granulomatous reactions and fibrosis in the affected organs (e.g., liver and spleen) with associated signs/symptoms.
Pathology associated with S. mansoni and S. japonicum schistosomiasis includes various hepatic complications from inflammation and granulomatous reactions, and occasional embolic egg granulomas in brain or spinal cord. Pathology of S. haematobium schistosomiasis includes hematuria, scarring, calcification, squamous cell carcinoma, and occasional embolic egg granulomas in brain or spinal cord.
Schistosoma mansoni eggs.
Schistosoma haematobium eggs.
Schistosoma japonicum eggs.
Schistosoma intercalatum eggs.
Schistosoma mekongi eggs.
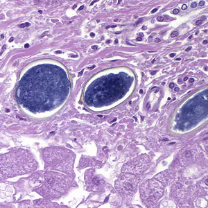
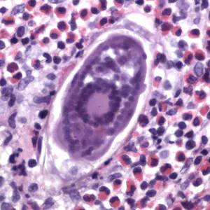
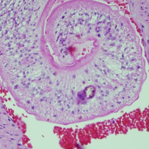
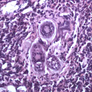
Schistosoma spp. eggs in tissue, stained with hematoxylin and eosin (H&E).
Schistosoma mansoni adults.
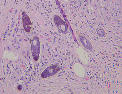
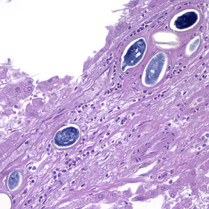
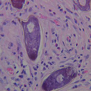
Cross-sections of human tissues with Schistosoma spp. adults.
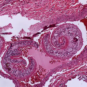
Intermediate hosts for Schistosoma spp.
Laboratory Diagnosis
Microscopic identification of eggs in stool or urine is the usual method for diagnosis. Stool examination should be performed when infection with S. mansoni or S. japonicum is suspected, and urine examination should be performed if S. haematobium is suspected. Eggs can be present in the stool in infections with all Schistosoma species. The examination can be performed on a simple smear (1 to 2 mg of fecal material). Since eggs may be passed intermittently or in small amounts, their detection will be enhanced by repeated examinations and/or concentration procedures (such as the formalin-ethyl acetate technique). In addition, for field surveys and investigational purposes, the egg output can be quantified by using the Kato-Katz technique (20 to 50 mg of fecal material; the standard Kato-Katz template is calibrated to 41.7 mg) or formalin ethyl acetate concentration. Further, homogenization of the whole fecal sample may enhance recovery of eggs for S. japonicum, as eggs may have an uneven distribution within feces. Eggs can be found in the urine in infections with S. haematobium (recommended time for collection: between noon and 3 PM) and with S. japonicum. Detection will be enhanced by centrifugation and examination of the sediment. Quantification is possible by using filtration through a polycarbonate membrane of a standard volume of urine followed by egg counts on the membrane. Tissue biopsy (rectal biopsy for all species and biopsy of the bladder for S. haematobium) may demonstrate eggs when stool or urine examinations are negative.
More on: Morphologic comparison with other intestinal parasites
Antibody detection
Antibody detection can be useful to indicate schistosome infection in patients who have traveled in schistosomiasis endemic areas and in whom eggs cannot be demonstrated in fecal or urine specimens. Test sensitivity and specificity vary widely among the many tests reported for the serologic diagnosis of schistosomiasis and are dependent on both the type of antigen preparations used (crude, purified, adult worm, egg, cercarial) and the test procedure.
At CDC, a combination of tests with purified adult worm antigens is used for antibody detection. Serum specimens are first tested by FAST-ELISA using Schistosoma mansoni adult microsomal antigen (MAMA). A positive reaction indicates infection with Schistosoma species. Because test sensitivity with the FAST-ELISA is reduced for species other than S. mansoni, immunoblots of the species appropriate to the patient’s travel history are also tested to improve detection of S. haematobium and S. japonicum infections (MAMA – S. mansoni, HAMA – S. haematobium, JAMA –S. japonicum). However, cross-reaction with S. mekongi, S. intercalatum, and S. guineensis specimens has not yet been assessed. The presence of antibody is indicative only of schistosome infection at some time and cannot be correlated with clinical status, worm burden, egg production, or prognosis. When submitting specimens, please include the patient’s travel history so the appropriate Schistosoma species will be tested by immunoblot.
Laboratory Safety
Standard protocols apply for the processing of stool, urine, and/or serum samples. Schistosoma spp. eggs are not infectious to humans, however, precautions should still be taken to avoid exposure to other pathogens that may be present in stools.
Suggested Reading
Clinical Care of Schistosomiasis; Centers for Disease Control and Prevention.
Schistosomiasis Fact Sheet; World Health Organization.
Colley, D.G., Bustinduy, A.L., Secor, W.E. and King, C.H., 2014. Human schistosomiasis. The Lancet, 383 (9936), pp.2253–2264.
Berry, A., Moné, H., Iriart, X., Mouahid, G., Aboo, O., Boissier, J., Fillaux, J., Cassaing, S., Debuisson, C., Valentin, A. and Mitta, G., 2014. Schistosomiasis haematobium, Corsica, France. Emerging Infectious Diseases, 20 (9), p.1595.
Webster, B.L., Southgate, V.R. and Littlewood, D.T.J., 2006. A revision of the interrelationships of Schistosoma including the recently described Schistosoma guineensis. International Journal for Parasitology, 36 (8), pp.947–955.
DPDx is an educational resource designed for health professionals and laboratory scientists. For an overview including prevention, control, and treatment visit www.cdc.gov/parasites/.
