
Tungiasis
[Tunga penetrans]
Causal Agent
The chigoe flea, Tunga penetrans. The flea is also referred to as the jigger, nigua, chica, pico, pique or suthi.
Life Cycle

Eggs are shed by the gravid female into the environment
. Eggs hatch into larvae
in about 3-4 days and feed on organic debris in the environment. Tunga penetrans has two larval stages before forming pupae
. The pupae are in cocoons that are often covered with debris from the environment (sand, pebbles, etc). The larval and pupal stages take about 3-4 weeks to complete. Afterwards, adults hatch from pupae
and seek out a warm-blooded host for blood meals. Both males and females feed intermittently on their host, but only mated females burrow into the skin (epidermis) of the host, where they cause a nodular swelling
. Females do not have any specialized burrowing organs, and simply claw into the epidermis after attaching with their mouthparts. After penetrating the stratum corneum, they burrow into the stratum granulosum, with only their posterior ends exposed to the environment
. The female fleas continue to feed and their abdomens extend up to about 1 cm. Females shed about 100 eggs over a two-week period, after which they die and are sloughed by the host’s skin. Secondary bacterial infections are not uncommon with tungiasis.
Geographic Distribution
Tunga penetrans is distributed in tropical and subtropical regions of the world, including Mexico to South America, the West Indies and Africa. The fleas normally occur in sandy climates, including beaches, stables and farms.
Clinical Presentation
The initial burrowing by the gravid females is usually painless; symptoms, including itching and irritation, usually start to develop as the females become fully-developed into the engorged state. Inflammation and ulceration may become severe, and multiple lesions in the feet can lead to difficulty in walking. Secondary bacterial infections, including tetanus and gangrene, are not uncommon with tungiasis.
Tunga penetrans.
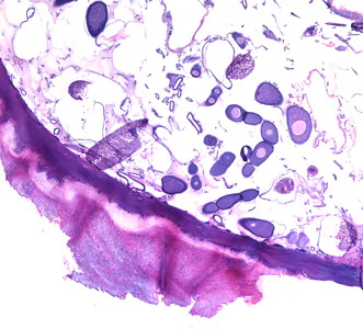
Tunga penetrans lesions and biopsy specimens.
Laboratory Diagnosis
Identification is made by the finding of adult fleas and their eggs in lesions.
Treatment Information
For information about treatment please contact CDC-INFO.
DPDx is an educational resource designed for health professionals and laboratory scientists. For an overview including prevention, control, and treatment visit www.cdc.gov/parasites/.