Key points
- Anthrax can cause severe illness in both people and animals.
- The bacteria that causes anthrax occurs naturally in soil worldwide.
- People usually get anthrax from infected animals or contaminated animal products.
- Call a healthcare provider immediately if you think you have been exposed to anthrax.
More Information

Overview
Anthrax is a serious disease usually caused by Bacillus anthracis bacteria. It's found naturally in soil around the world and commonly affects livestock and wild animals. People usually get sick with anthrax if they come in contact with infected animals or contaminated animal products. People can breathe in anthrax spores, eat food or drink water contaminated with spores, or get spores in a cut or scrape in the skin.
Livestock and wild animals can become infected when they breathe in, eat, or drink spores in contaminated soil, plants, or water. These animals can include cattle, sheep, goats, antelope, and deer.
Anthrax is rare in the United States. However, occasional outbreaks do happen in wild and domestic grazing animals such as cattle or deer. In the United States, veterinarians recommend yearly vaccination of livestock in areas where animals have had anthrax in the past.
Most people will never be exposed to anthrax. However, there are jobs, hobbies, and activities that can put some people at higher risk of exposure.
Anthrax risk and prevention
Types
The type of illness a person develops depends on how anthrax enters the body: through the skin, lungs, or gastrointestinal system. All types of anthrax can cause death if they're not treated with antibiotics.
There are four types of anthrax:
Cutaneous anthrax happens when anthrax spores get into a cut or scape on the skin when a person handles infected animals or contaminated animal products like wool, hides, or hair. It mostly shows up on the head, neck, forearms, and hands. It's the most common form of anthrax infection, and it's also considered to be the least dangerous.
Recently, injection anthrax was identified in heroin-injecting drug users in northern Europe, but it hasn't been reported in the United States. Injection anthrax is similar to cutaneous anthrax and causes infection deep under the skin or in the muscle where the drug was injected.

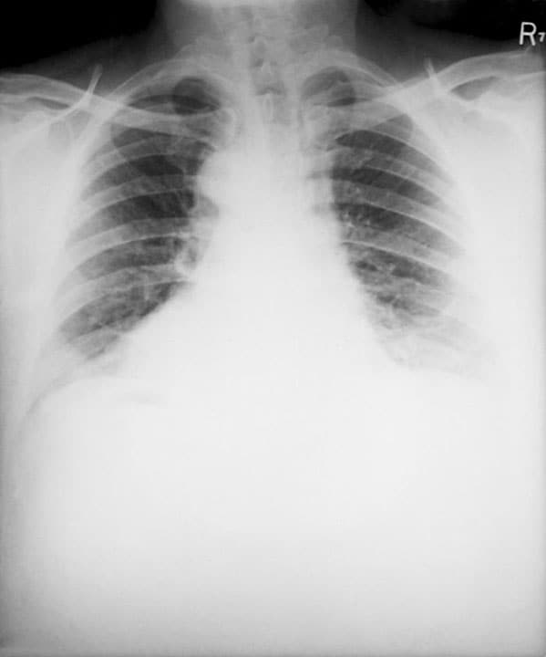
Inhalation anthrax happens when a person breathes in anthrax spores. It's the deadliest form of the disease. People who work in places such as wool mills, slaughterhouses, and tanneries may breathe in the spores when working with infected animals or contaminated animal products. Inhalation anthrax starts primarily in the lymph nodes in the chest before spreading throughout the rest of the body.

Gastrointestinal anthrax happens when a person eats raw or undercooked meat from an infected animal. It has rarely been reported in the United States. It affects the upper gastrointestinal tract (throat and esophagus), stomach, and intestines, causing a wide variety of symptoms.

New disease caused by anthrax toxin
Symptoms
The symptoms of anthrax depend on the type of infection. Symptoms show up anywhere from 1 day to more than 2 months after you're exposed to the bacteria that cause anthrax. If you don't get proper treatment, all types of anthrax have the potential to spread through your body and cause severe illness and death.
Cutaneous anthrax

Symptoms include:
- Group of itchy, small blisters or bumps
- Large amount of swelling around the sore
- Painless sore commonly on the face, neck, arms, or hand that has a black center
- Sore appears after the bumps have gone down
- Sore appears after the bumps have gone down
- For injection anthrax, infected sores (abscesses) deep under the skin or muscle at the injection site
Inhalation anthrax

Symptoms include:
- Fever and chills
- Heavy sweats
- Chest pain, cough, or shortness of breath
- Confusion or dizziness
- Nausea, vomiting, or stomach pains
- Headache or body aches
- Extreme tiredness
Gastrointestinal anthrax
Symptoms include:
- Fever and chills
- Swelling of neck or neck glands
- Sore throat, hoarseness, and pain when swallowing
- Nausea and vomiting, especially bloody vomiting
- Diarrhea or bloody diarrhea
- Headache
- Red face and red eyes
- Stomach pain and swelling
- Fainting
If you've been exposed to anthrax
See a healthcare provider immediately and explain how you may have been exposed. It's important to get medical care as quickly as possible to have the best chances for a full recovery. Doctors can prescribe antibiotics to prevent you from getting sick, or as treatment if you're already sick.
There is no test to find out if you have been exposed to anthrax. Public health departments will have to do an investigation to see if and how you were exposed.