Key points
- Babesia infection ranges from subclinical to severe, presenting with flu-like symptoms and clinical or laboratory signs of red blood cell destruction.
- Diagnosis requires careful examination, often including a detailed review of a peripheral blood smear to spot the parasite, especially in immunosuppressed patients.
- Asymptomatic patients typically do not need treatment. For symptomatic cases, a 7- to 10-day course of atovaquone with azithromycin is typical.

Clinical features
Babesia infection can range from subclinical to severe. Symptoms, if any, usually develop within a few weeks or months after exposure but may first appear or recur many months later, particularly in persons who are or become immunosuppressed.
Clinically, Babesia infection presents with hemolytic anemia and non-specific flu-like symptoms (such as, fever, chills, body aches, weakness, fatigue). Some patients may experience splenomegaly, hepatomegaly, or jaundice.
Key risk factors for severe babesiosis and/or relapse include:
- Asplenia or hyposplenia
- Advanced age
- HIV infection
- Cancer (especially B-cell lymphoma or similar malignancy)
- Immunosuppressive drugs (especially rituximab)
- Other causes of impaired immune function (such as autoimmune disease, corticosteroid therapy)
- Congestive heart failure
- Neonates who have been exposed to B. microti through transfusion, transplacental transmission, or tick transmission
Some immunosuppressive therapies or conditions may affect the clinical manifestations (such as, the absence of fever).
In severe cases, patients may exhibit thrombocytopenia, disseminated intravascular coagulation, hemodynamic instability, acute respiratory distress, myocardial infarction, renal failure, hepatic compromise, altered mental status, and potentially, death.
Cause
Babesiosis is caused by the microscopic parasite Babesia, which is spread by ticks. Many different species of Babesia parasites have been found in animals, but only a few of which have been found in people. Babesia microti—which usually infects white-footed mice and other small mammals—is the main species that has been found in people in the United States. Occasional cases caused by other Babesia species have been detected.
Risk factors
If a patient has any of the following comorbidities, they could be at risk for severe or life-threatening disease.
- Absence of a spleen
- Weak immune system due cancer, immunosuppresive drugs, or HIV
- Serious health conditions like heart, liver or kidney disease
Elderly patients and neonates are also at risk for severe disease.
Prevention
There is no vaccine for babesiosis. Encourage patients to avoid ticks, use tick repellents, wear socks, long-sleeved shirts, and pants, and perform self-checks for the presence of ticks.
Testing
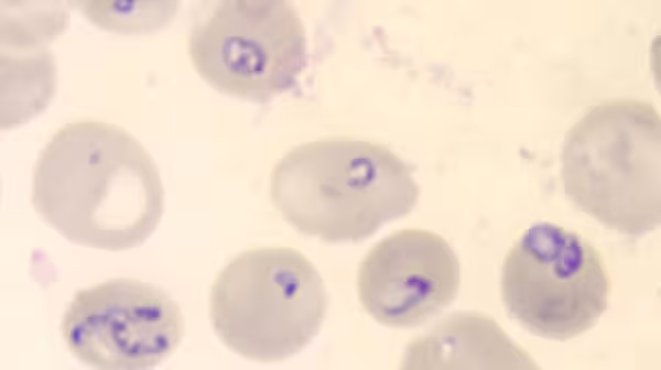
Diagnosing babesiosis requires a high index of suspicion, due to its nonspecific symptoms. For acutely ill patients, the findings on routine laboratory testing frequently include hemolytic anemia and thrombocytopenia. Additional findings may include proteinuria, hemoglobinuria, and elevated levels of liver enzymes, blood urea nitrogen, and creatinine.
When considering a babesiosis diagnosis, healthcare providers should explicitly request a manual (non-automated) review of the peripheral blood smear. In symptomatic patients with acute infection, it is typical to detect Babesia parasites through light-microscopic examination of blood smears, though sometimes multiple smears may need to be examined. Distinguishing Babesia and Plasmodium parasites (especially P. falciparum) and artifacts like stain or platelet debris can be challenging. Consider having a reference laboratory confirm the diagnosis—by blood-smear examination and, if indicated, by other means, such as molecular and/or serologic methods tailored to the setting/species.
Treatment and recovery
Most asymptomatic patients do not require treatment. Treatment decisions should be individualized, especially for patients who have (or are at risk for) severe or relapsing infection. Treatment may also differ depending on the Babesia species.
For ill patients, treatment usually involves at least a 7- to 10-day course of atovaquone and azithromycin.