
Intestinal (Non-Pathogenic) Amebae
[Endolimax nana] [Entamoeba coli] [Entamoeba hartmanni] [Entamoeba polecki] [Iodamoeba buetschlii]
Casual Agents
Several species of amebae are capable of colonizing the human gastrointestinal tract but, in contrast to Entamoeba histolytica, are not considered pathogenic. The nonpathogenic intestinal amebae include several Entamoeba species (E. coli, E. hartmanni, and E. polecki), Endolimax nana, and Iodamoeba buetschlii (=I. bütschlii). Entamoeba species in the E. histolytica species complex are discussed under Amebiasis.
Life Cycles
Entamoeba coli, E. hartmanni, E. polecki, Endolimax nana, and Iodamoeba buetschlii are generally considered nonpathogenic and reside in the lumen of the large intestine in the human host. Both cysts and trophozoites of these species are passed in stool and are considered diagnostic
. Cysts are typically found in formed stool, whereas trophozoites are typically found in diarrheal stool. Intestinal colonization with nonpathogenic amebae occurs after ingestion of mature cysts in fecally contaminated food, water, or fomites
. Excystation occurs in the small intestine
; and trophozoites are released, which migrate to the large intestine. The trophozoites multiply by binary fission and produce cysts, and both stages are passed in the feces
. Because of the protection conferred by their cell walls, the cysts can survive days to weeks in the external environment and are responsible for transmission. Trophozoites passed in the stool are rapidly destroyed once outside the body and, if ingested, would not survive exposure to the gastric environment.
Hosts
Humans are considered the main host for all of the discussed species except for Entamoeba polecki, which is usually associated with primates and swine.
Geographic Distribution
These amebae are found worldwide. Prevalence is highest in areas with inadequate sanitation.
Clinical Presentation
None of these amebae cause symptomatic disease in humans; colonization is noninvasive. However, the presence of trophozoites or cysts of nonpathogenic amebae in stool indicates that the person from whom the specimen was collected had fecal exposure.
E. nana cysts in concentrated wet mounts.
Cysts of Endolimax nana vary from spherical to ellipsoidal in shape and measure 5–10 µm. Mature cysts have four small nuclei with large, usually centrally located karyosomes and no peripheral chromatin. The nuclei are not visible in unstained wet mounts but are visible in iodine-stained wet mounts and slides stained with trichrome or iron hematoxylin (i.e., permanent stains). The cytoplasm may contain diffuse glycogen but lacks chromatoid bodies.
Endolimax nana trophozoites measure 6–12 µm and have a single nucleus with a characteristically large, irregularly shaped, blot-like karyosome. The nucleus lacks peripheral chromatin. Their cytoplasm is granular and often highly vacuolated and may contain inclusions of bacteria. Trophozoites of E. nana can be difficult to distinguish from those of Iodamoeba buetschlii.
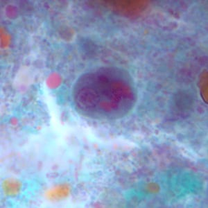
E. coli cysts in concentrated wet mounts.
Cysts of Entamoeba coli are usually spherical but may be elongated and measure 10–35 µm. Mature cysts typically have 8 nuclei but may have as many as 16 or more. Entamoeba coli is the only Entamoeba species found in humans that has more than four nuclei in the cyst stage. The nuclei may be seen in unstained as well as stained specimens. Karyosomes may be compact or diffuse and are usually eccentrically located. Peripheral chromatin is present and is often coarse, granular, and irregularly arranged along the nuclear membrane but may be more uniform. The cytoplasm of mature cysts may contain diffuse glycogen. Chromatoid bodies are seen less frequently than in E. histolytica. When present, they are usually splinter like with pointed ends, whereas the chromatoid bodies of E. histolytica have rounded ends.
Trophozoites of Entamoeba coli usually measure 15–50 µm. The trophozoites have a single nucleus with a characteristically large, eccentric karyosome and coarse, irregular peripheral chromatin. The cytoplasm is usually coarsely granular and vacuolated (often described as “dirty” cytoplasm). Pseudopodia may be seen and are often short and blunt; movement in living trophozoites is nondirectional.
E. hartmanni cyst in a wet mount.
Cysts of Entamoeba hartmanni are similar to those of E. histolytica but smaller, measuring 5–10 µm. Mature cysts contain four nuclei that have a small, discrete, centrally located karyosome and evenly distributed peripheral chromatin. Cysts may not be visible in unstained specimens. The cytoplasm in mature cysts may contain diffuse glycogen and may have rounded or elongated chromatoid bodies with rounded ends.
Trophozoites of Entamoeba hartmanni usually measure 5–15 µm. The trophozoites have a single nucleus that contains a small, compact, centrally or eccentrically located karyosome and fine, uniform peripheral chromatin. Nuclei are usually not visible in unstained specimens. The cytoplasm is finely granular. Movement in living trophozoites is described as nonprogressive.
E. polecki cyst in a concentrated wet mount stained with iodine.
Cysts of Entamoeba polecki measure 9–25 µm and are usually uninucleate, but binucleate forms are seen rarely. The nucleus is often large, measuring up to one-third of the diameter of the cyst. The karyosome is pleomorphic in regards to size (small to large), shape (compact to diffuse), and location (central to eccentric). Peripheral chromatin may range from light to heavy but is usually evenly distributed. Cysts also contain an inclusion mass of variable size and numerous chromatoid bodies, which are highly variable in shape and size.
Trophozoites of Entamoeba polecki are often rounded, measuring 10–25 µm. The single nucleus is often distorted and irregularly shaped, with a small-to-minute centrally located karyosome. The peripheral chromatin is usually delicate and uniform. The cytoplasm is often vacuolated with a hyaline border. Blunt pseudopodia may be seen.
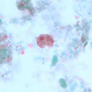
Iodamoeba buetschlii cysts in concentrated wet mounts.
Cysts of Iodamoeba buetschlii vary from nearly spherical to ellipsoidal in shape and measure 5–20 µm. Cysts contain a single nucleus that is not visible in either unstained or iodine-stained wet mounts. With permanent stains (such as trichrome), the nucleus contains a large, usually eccentrically located karyosome. Achromatic granules may or may not be present around the karyosome. An important diagnostic feature for this species is the presence of a large compact mass (vacuole) of glycogen in the cyst stage. Although this mass can be visible in unstained wet mounts, in iodine-stained preparations it takes on a darker, reddish-brown color. The glycogen vacuole does not stain with trichrome but is visible as a well-defined mass.
Trophozoites of Iodamoeba buetschlii measure 8–20 µm and have a single nucleus with a large, usually centrally located karyosome surrounded by refractile, achromatic granules. The cytoplasm is coarsely granular and vacuolated and can contain bacteria, yeast, or other materials. Movement in living trophozoites is sluggish and described as nonprogressive. The trophozoites of I. buetschlii can be difficult to distinguish from those of Endolimax nana.
Diagnostic Findings
Morphologic diagnosis is achieved by identification of characteristic cysts or trophozoites of a particular nonpathogenic intestinal ameba in stool specimens (either on concentrated wet mounts or permanent-stained smears).
More on: Morphologic comparison with other intestinal parasites
Laboratory Safety
Standard precautions for processing stool specimens apply. Although these species are not pathogenic, precautions are indicated to avoid potential exposure to pathogens that may be present in unfixed stools.
Suggested Reading
Garcia, L. 2007. Intestinal Protozoa: Amebae (pp 6-32). In Diagnostic Medical Parasitology, Fifth Edition. ASM Press, Washington, DC. doi: 10.1128/9781555816018.ch2
DPDx is an educational resource designed for health professionals and laboratory scientists. For an overview including prevention, control, and treatment visit www.cdc.gov/parasites/.
