
Amebiasis
[Entamoeba histolytica]
Causal Agents
Several protozoan species in the genus Entamoeba colonize humans, but not all of them are associated with disease. Entamoeba histolytica is well recognized as a pathogenic ameba, associated with intestinal and extraintestinal infections. Other morphologically-identical Entamoeba spp., including E. dispar, E. moshkovskii, and E. bangladeshi, are generally not associated with disease although investigations into pathogenic potential are ongoing.
While the discussed species are morphologically-identical, E. histolytica may be observed with ingested red blood cells (erythrophagocytosis); E. dispar may occasionally be seen with ingested erythrocytes as well, although its capacity for erythrophagocytosis is much less than that of E. histolytica. Non-pathogenic amebae (e.g. Endolimax nana, Iodamoeba buetschlii, other Entamoeba species) are important because they may be confused with E. histolytica in diagnostic investigations.
Life Cycle
Cysts and trophozoites are passed in feces
. Cysts are typically found in formed stool, whereas trophozoites are typically found in diarrheal stool. Infection with Entamoeba histolytica (and E.dispar) occurs via ingestion of mature cysts
from fecally contaminated food, water, or hands. Exposure to infectious cysts and trophozoites in fecal matter during sexual contact may also occur. Excystation
occurs in the small intestine and trophozoites
are released, which migrate to the large intestine. Trophozoites may remain confined to the intestinal lumen (A: noninvasive infection) with individuals continuing to pass cysts in their stool (asymptomatic carriers). Trophozoites can invade the intestinal mucosa (B: intestinal disease), or blood vessels, reaching extraintestinal sites such as the liver, brain, and lungs (C: extraintestinal disease). Trophozoites multiply by binary fission and produce cysts
, and both stages are passed in the feces
. Cysts can survive days to weeks in the external environment and remain infectious in the environment due to the protection conferred by their walls. Trophozoites passed in the stool are rapidly destroyed once outside the body, and if ingested would not survive exposure to the gastric environment.
Geographic Distribution
Pathogenic Entamoeba species occur worldwide and are frequently recovered from fresh water contaminated with human feces. The majority of amebiasis cases occur in developing countries.
In industrialized countries, risk groups include men who have sex with men, travelers, recent immigrants, immunocompromised persons, and institutionalized populations.
Clinical Presentation
The majority of infections restricted to the lumen of the intestine (“luminal amebiasis”) are asymptomatic. Amebic colitis, or invasive intestinal amebiasis, occurs when the mucosa is invaded. Symptoms include severe dysentery and associated complications. Severe chronic infections may lead to further complications such as peritonitis, perforations, and the formation of amebic granulomas (ameboma).
Amebic liver abscesses are the most common manifestation of extraintestinal amebiasis. Pleuropulmonary abscess, brain abscess, and necrotic lesions on the perianal skin and genitalia have also been observed.
Mature Entamoeba histolytica/Entamoeba dispar cysts have 4 nuclei that characteristically have centrally-located karyosomes and fine, uniformly distributed peripheral chromatin. Cysts usually measure 12 to 15 µm.
Mature Entamoeba histolytica/Entamoeba dispar cysts have 4 nuclei that characteristically have centrally located karyosomes and fine, uniformly distributed peripheral chromatin. Cysts usually measure 12 to 15 µm.
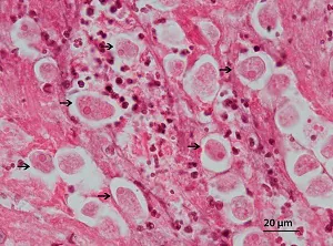
Pathogenic Entamoeba trophozoites have a single nucleus, which have a centrally placed karyosome and uniformly distributed peripheral chromatin. The cytoplasm has a granular or “ground-glass” appearance. Trophozoites usually measure 15 to 20 µm (range 10 to 60 µm), tending to be more elongated in diarrheal stool.
Entamoeba histolytica/Entamoeba dispar trophozoites have a single nucleus, which have a centrally placed karyosome and uniformly distributed peripheral chromatin. This typical appearance of the nucleus is not always observed as some trophozoites can have nuclei with an eccentric karyosome and unevenly distributed peripheral chromatin. The cytoplasm has a granular or “ground-glass” appearance. E. histolytica/E. dispar trophozoites usually measure 15 to 20 µm (range 10 to 60 µm), tending to be more elongated in diarrheal stool.
Pathogenic Entamoeba trophozoites have a single nucleus, which have a centrally placed karyosome and uniformly distributed peripheral chromatin. This typical appearance of the nucleus is not always observed as some trophozoites can have nuclei with an eccentric karyosome and unevenly distributed peripheral chromatin. The cytoplasm has a granular or “ground-glass” appearance. Trophozoites usually measure 15 to 20 µm (range 10 to 60 µm), tending to be more elongated in diarrheal stool.
Erythrophagocytosis (ingestion of red blood cells by the parasite) is classically associated with E. histolytica but may rarely occur with E. dispar, thus this is not a reliable criterion by which to distinguish these species. Note that erythrophagocytosis is rarely observed on stained smears.
Laboratory Diagnosis
Differential diagnosis among other amebae
Pathogenic Entamoeba species must be differentiated from other intestinal protozoa such as the nonpathogenic amebae (Entamoeba coli, E. hartmanni, E. gingivalis, Endolimax nana, Iodamoeba buetschlii) and the flagellate Dientamoeba fragilis. Morphologic differentiation among these is possible, but potentially complicated, based on morphologic characteristics of the cysts and trophozoites.
In culture, differential growth characteristics of E. moshkovskii may aid in distinguishing it from other species, but culture methods have important limitations (missing mixed infections, contamination, labor-intensive, limited availability). Historically, differentiation of E. dispar and E. histolytica was based on isoenzymatic or immunologic analysis, but these are no longer favored with the availability of effective molecular methods and are seldom performed. Molecular methods are currently recommended for distinguishing pathogenic Entamoeba species.
Microscopic Detection
Microscopic identification of cysts and trophozoites in the stool is the common method for diagnosing pathogenic Entamoeba species. This can be accomplished using:
- Fresh stool: wet mounts and permanently stained preparations (e.g., trichrome).
- Concentrates from fresh stool: wet mounts, with or without iodine stain, and permanently stained preparations (e.g., trichrome). While useful for cysts, concentration methods may not be useful for demonstrating trophozoites.
- Microscopy also has a low sensitivity if only one stool sample is analyzed, and requires personnel trained in morphological diagnosis. Collection and analysis of three consecutive stool samples within ten days improves the chances for detection. Also, E. dispar, E. histolytica, and E. moshkovskii are not distinguishable based on morphology.
Trophozoites can also be identified in aspirates or biopsy samples obtained during colonoscopy or surgery.
Immunodiagnosis
Enzyme immunoassay (EIA) kits for Entamoeba histolytica antibody detection as well as EIA kits for antigen detection are commercially available in the United States. Antibody detection is most useful in patients with extraintestinal disease (i.e., amebic liver abscess) when organisms are not generally found on stool examination. Antibody detection is of limited diagnostic value on patients from highly endemic areas that are likely to have prior exposure and seroconversion, but may be of more use on patients from areas where pathogenic Entamoeba spp. are rare. Antigen detection during active infections may be useful as an adjunct to microscopic diagnosis in detecting parasites and can distinguish between pathogenic and nonpathogenic infections.
Antibody detection
The indirect hemagglutination (IHA) test has been replaced by commercially available EIA test kits for routine serodiagnosis of amebiasis. Antigen consists of a crude soluble extract of axenically cultured organisms. The EIA test detects antibody specific for E. histolytica in approximately 95% of patients with extraintestinal amebiasis, 70% of patients with active intestinal infection, and 10% of asymptomatic persons who are passing cysts of E. histolytica. If antibodies are not detectable in patients with an acute presentation of suspected amebic liver abscess, a second specimen should be drawn 7-10 days later. If the second specimen does not show seroconversion, other agents should be considered. Detectable E. histolytica-specific antibodies may persist for years after successful treatment, so the presence of antibodies does not necessarily indicate acute or current infection. Also, patients who have lived in highly endemic areas are likely to be seropositive due to past exposures. Specificity is 95% or higher: false-positive reactions rarely occur.
Although detection of IgM antibodies specific for E. histolytica has been reported, sensitivity is only about 64% in patients with current invasive disease. Several commercial EIA kits for antibody detection are available in the United States. No commercial antibody detection kits exist for E. dispar or E. moshkovskii or E. bangladeshi.
Antigen Detection
Antigen detection may be useful as an adjunct to microscopic diagnosis in detecting parasites and to distinguish between pathogenic and nonpathogenic infections. However, utility is limited for frozen or fixed specimens and for post-treatment specimens. Recent studies indicate improved sensitivity and specificity of fecal antigen assays with the use of monoclonal antibodies which can distinguish between E. histolytica and E. dispar infections. At least one commercial kit is available which detects only pathogenic E. histolytica infection in stool; several kits are available which detect E. histolytica antigens in stool but do not exclude E. dispar infections.
Molecular Diagnosis
Conventional PCR
In reference diagnosis laboratories, molecular analysis by conventional PCR-based assays is the method of choice for discriminating between E. histolytica and E. dispar. Some assays also can distinguish E. moshkovskii.
Real-Time PCR
A TaqMan real-time PCR approach has been validated at CDC and is used for differential laboratory diagnosis of amebiasis. The assay targets the 18S rRNA gene with species-specific TaqMan probes in a duplex format, making it possible to detect both E. histolyrica and E. dispar in the same reaction vessel.
References:
Qvarnstrom Y, James C, Xayavong M, Holloway B, Moura I, Visvesvara GS, et al. Comparison of real-time PCR rationales for differential laboratory diagnosis of amebiasis. J Clin Microbiol 2005;43:5491-5497.
Laboratory Safety
Cysts in unfixed stool samples are potentially infective. Observe standard precautions that apply to stool specimens: https://www.cdc.gov/dpdx/diagnosticprocedures/stool/safety.html.
Suggested Reading
Ali, I.K.M., 2015. Intestinal amebae. Clinics in Laboratory Medicine, 35 (2), pp.393-422.
Heredia, R.D., Fonseca, J.A. and López, M.C., 2012. Entamoeba moshkovskii perspectives of a new agent to be considered in the diagnosis of amebiasis. Acta Tropica, 123 (3), pp.139-145.
Morán, P., Rojas, L., Cerritos, R., Zermeno, V., Valadez, A., de Oca, G.M., Reyes, M.A., González, E., Partida, O., Hernández, E. and Nieves, M., 2013. Cutaneous Amebiasis: the importance of molecular diagnosis of an emerging parasitic disease. The American Journal of Tropical Medicine and Hygiene, 88 (1), pp.186-190.
Leo, M., Haque, R., Kabir, M., Roy, S., Lahlou, R.M., Mondal, D., Tannich, E. and Petri, W.A., 2006. Evaluation of Entamoeba histolytica antigen and antibody point-of-care tests for the rapid diagnosis of amebiasis. Journal of clinical microbiology, 44(12), pp.4569-4571.
DPDx is an educational resource designed for health professionals and laboratory scientists. For an overview including prevention, control, and treatment visit www.cdc.gov/parasites/.
