
Case #258 – August, 2009
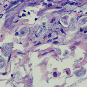
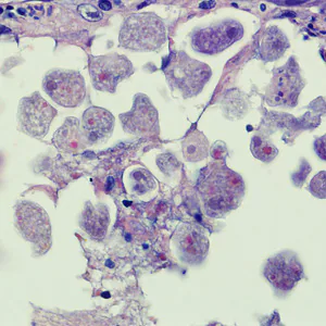
A biopsy was performed on a 23-year-old woman with no known travel history, presenting with a perianal ulcer. The specimen was preserved in formalin and sent to a pathology lab for work-up. Figures A and B show what was observed at 500x magnification from a section of the tissue, stained with hematoxylin and eosin (H&E). What is your diagnosis? Based on what criteria?

Figure A

Figure B
Images presented in the DPDx case studies are from specimens submitted for diagnosis or archiving. On rare occasions, clinical histories given may be partly fictitious.
DPDx is an educational resource designed for health professionals and laboratory scientists. For an overview including prevention, control, and treatment visit www.cdc.gov/parasites/.