
Case #315 – January, 2012
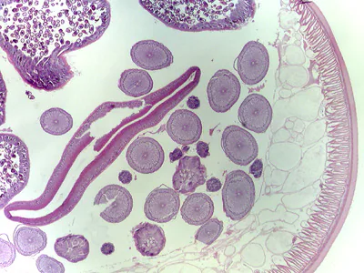
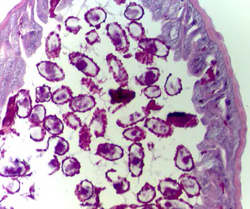
A 31-year-old man, originally from Ecuador, vomited what appeared to be a long worm-like object. The object (Figure A) measured 27 centimeters in length. The object was sent to a pathology laboratory for sectioning and staining with hematoxylin and eosin (H&E). Figures B–D show what was observed microscopically by the attending pathologist. What is your diagnosis? Based on what criteria?

Figure A

Figure B

Figure C

Figure D
This case and images were kindly provided by Emory Johns Creek Hospital, Johns Creek, GA.
Images presented in the DPDx case studies are from specimens submitted for diagnosis or archiving. On rare occasions, clinical histories given may be partly fictitious.
DPDx is an educational resource designed for health professionals and laboratory scientists. For an overview including prevention, control, and treatment visit www.cdc.gov/parasites/.

