
Case #448 – July, 2017
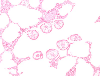
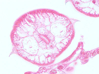
A lung biopsy was obtained on a 29-year-old-patient from Cameroon with cough, dyspnea, and hemoptysis. Figures A–D show what was observed on a hematoxylin and eosin (H & E) stained section; Figure A is at 200x, Figure B 400x, and Figures C and D at 1000x magnification. What is your diagnosis? Based on what criteria?

Figure A

Figure B

Figure C

Figure D
Images presented in the dpdx case studies are from specimens submitted for diagnosis or archiving. On rare occasions, clinical histories given may be partly fictitious.
DPDx is an educational resource designed for health professionals and laboratory scientists. For an overview including prevention, control, and treatment visit www.cdc.gov/parasites/.