Key points
- Eastern equine encephalitis is caused by a virus in the genus Alphavirus.
- The virus is maintained in the environment by Culiseta melanura mosquitoes and avian hosts.
- Humans and other animals are typically infected by bridge vectors and are considered dead-end hosts.
- Rare transplant-associated transmission of eastern equine encephalitis virus has been documented.

Virus
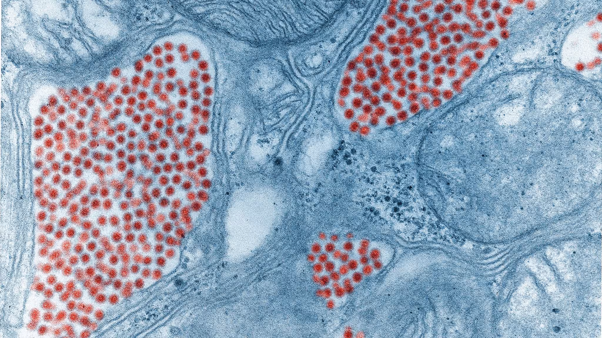
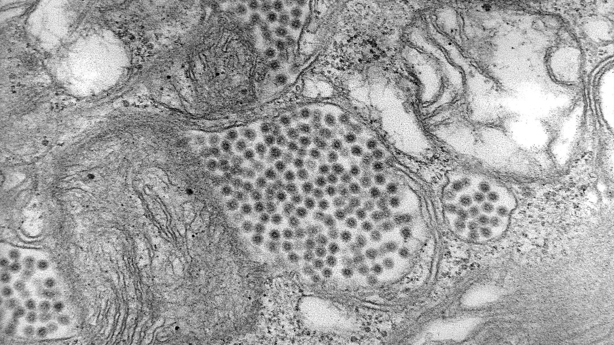
Eastern equine encephalitis virus is a member of the genus Alphavirus, family Togaviridae.
Eastern equine encephalitis virus has a single-stranded, positive-sense RNA genome. The virus particles are spherical and have a diameter of 60–65 nm.

There are four lineages of the eastern equine encephalitis virus antigenic complex.
- Group I consists of only eastern equine encephalitis virus and is endemic in North America and the Caribbean and causes most human disease cases.
- The other three groups (IIA, IIB, and III) are caused by related Madariaga virus (formerly known as South American eastern equine encephalitis virus) and cause primarily equine illness in Central and South America.
Transmission
Eastern equine encephalitis virus is maintained in a cycle between Culiseta melanura mosquitoes and avian hosts in freshwater hardwood swamps. Cs. melanura is not considered to be an important vector of eastern equine encephalitis virus to humans because it feeds almost exclusively on birds. Transmission to people requires another mosquito species to create a "bridge" between infected birds and uninfected mammals, such as people or horses. Most of the bridge species are within the Aedes, Coquillettidia, and Culex genera. Eastern equine encephalitis virus has been documented to be transmitted through solid organ transplantation, with one organ donor transmitting the infection to three organ transplant recipients.

Horses are susceptible to eastern equine encephalitis virus infection and many cases are fatal. Eastern equine encephalitis virus infections in horses, however, do not increase risk for human infections because horses (like humans) are considered to be “dead-end” hosts for the virus (i.e., the concentration of virus in their bloodstreams is usually insufficient to infect mosquitoes). There is a vaccine to prevent eastern equine encephalitis virus infection in horses.
- Heberlein-Larson LA, Tan Y, Stark LM, Cannons AC, Shilts MH, Unnasch TR, et al. Complex epidemiological dynamics of eastern equine encephalitis virus in Florida. Am J Trop Med Hyg. 2019 May;100(5):1266-1274. doi: 10.4269/ajtmh.18-0783.
- Pouch SM, Katugaha SB, Shieh WJ, Annambhotla P, Walker WL, Basavaraju SV, et. al. Transmission of eastern equine encephalitis virus from an organ donor to 3 transplant recipients. Clin Infect Dis. 2019 Jul 18;69(3):450-458. doi: 10.1093/cid/ciy923.
- Miley KM, Downs J, Burkett-Cadena ND, West RG, Hunt B, Deskins G, et al. Field analysis of biological factors associated with sites at high and low to moderate risk for eastern equine encephalitis virus winter activity in Florida. J Med Entomol. 2021;58(6):2385-2397. doi: 10.1093/jme/tjab066.
- Armstrong PM, Andreadis TG. Eastern equine encephalitis virus in mosquitoes and their role as bridge vectors. Emerg Infect Dis. 2010;16(12):1869-74. doi: 10.3201/eid1612.100640.
- Brault AC, Powers AM, Chavez CL, Lopez RN, Cachon MF, Gutierrez LF, et al. Genetic and antigenic diversity among eastern equine encephalitis viruses from North, Central, and South America. Am J Trop Med Hyg 1999;61(4):579-86. doi: 10.4269/ajtmh.1999.61.579
- Hachiya M, Osborne M, Stinson C, Werner BG. Human eastern equine encephalitis in Massachusetts: predictive indicators from mosquitoes collected at 10 long-term trap sites, 1979-2004. Am J Trop Med Hyg 2007;76(2):285-92.