Key points
- Never delay or withhold treatment pending the receipt of laboratory test results or an initially negative result. Early recognition and prompt treatment with doxycycline is critical.
- Ehrlichiosis can be identified by tests including serology, polymerase chain reaction, immunohistochemistry, culture, and blood-smear microscopy.
- Always take a thorough patient history, including information on recent tick bites, exposure to areas where ticks are found, and travel history.
- Ehrlichiosis is a nationally notifiable condition.

Considerations
- Early recognition and prompt treatment can prevent progression to severe illness and improve patient outcomes.
- Ehrlichiosis can be difficult to diagnose, particularly in the early stages of illness. Treatment should be started as soon as ehrlichiosis is suspected.
- Maintain a high level of clinical suspicion for ehrlichiosis or other tickborne diseases in cases of non-specific febrile illness. Be aware during spring and summer months when ticks are most active.
- Always conduct a thorough patient history:
- History of a recent tick bite. Many people do not remember being bitten. Do not rule out a tickborne infection if your patient does not remember a tick bite.
- Exposure to areas where ticks are commonly found, including wooded areas or brushy areas with high grasses and leaves. This includes yard work activities such as gardening.
- Travel history to areas in the United States where ehrlichiosis is endemic.
- History of a recent tick bite. Many people do not remember being bitten. Do not rule out a tickborne infection if your patient does not remember a tick bite.
- Severe ehrlichiosis is clinically similar to other non-tickborne illnesses. These include:
- Meningoencephalitis
- Sepsis
- Toxic shock syndrome
- Hepatitis
- Blood malignancies.
- Meningoencephalitis
- Laboratory confirmation is helpful for disease surveillance and understanding burden of ehrlichiosis infection in the United States.
Recommended tests
- Testing for ehrlichiosis should be considered for any person with a compatible illness and known risk factors, such as history of a tick bite.
- The optimal diagnostic test depends on the timing relative to symptom onset and the type of specimen(s) available for testing.
- Ehrlichiosis is a nationally notifiable condition. Testing for and reporting of cases of ehrlichiosis are important to improve our understanding of disease prevalence, where it occurs, and how the incidence and geographic distribution change over time.
- PCR is performed on whole blood specimens.
- This method is most sensitive in the first week of illness and decreases in sensitivity within 48 hours of administration of appropriate antibiotics.
- Although a positive PCR result should be treated as clear evidence of active infection, a negative result does not rule out the diagnosis. Treatment should not be withheld due to a negative result.
- PCR can be used to identify ehrlichiosis from DNA in solid tissue and bone marrow specimens.
- The reference standard serologic test for diagnosis of ehrlichiosis is the indirect fluorescent antibody (IFA) test for immunoglobulin G (IgG) antibodies directed against Ehrlichia spp.
- IgG IFA tests should be performed on paired acute and convalescent serum samples, within the acute specimen collected during the first two weeks of illness and the convalescent collected 2-10 weeks later. Seroconversion is defined as a four-fold increase in titer from the convalescent compared to acute.
- Antibody titers determined using IgG IFA tests are frequently negative (titer of less than 1:64) in the first week of illness. Ehrlichiosis cannot be confirmed using single acute antibody results. A single titer of 1:128 or greater is classified as presumptive laboratory evidence.
- Immunoglobulin M (IgM) is not a reliable method for the diagnosis of ehrlichiosis and should not be used as an indicator of recent infection.
- Antibodies against Ehrlichia species might remain elevated for many months after disease has resolved. Persistently elevated titers should not prompt additional treatment in the absence of new symptoms.
- Seroconversion provides the best evidence of recent infection.
Cross reactivity
- Closely related organisms, including those in the Ehrlichia and Anaplasma genera, share similar antigens such that antibodies directed to one of these antigens can cross-react.
- Most commercial labs are unable to differentiate between Ehrlichia species.
- In areas endemic for ehrlichiosis and anaplasmosis, IFA using antigen from both Ehrlichia and Anaplasma species should be run side-by-side.
- Culture isolation and immunohistochemical (IHC) assays of Ehrlichia species are only available at specialized laboratories. Routine hospital blood cultures cannot detect the organism.
- PCR, culture, and IHC assays can also be applied to post-mortem specimens.
- If a bone marrow biopsy is performed as part of the investigation of cytopenias, immunostaining of the bone marrow biopsy specimen can diagnose ehrlichiosis.
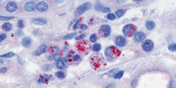
- During the first week of illness, a microscopic examination of a peripheral blood smear might reveal morulae (microcolonies of Ehrlichiae) in the cytoplasm of white blood cells. If these morulae are identified, ehrlichiosis should be strongly suspected.
- E. chaffeensis most commonly infects monocytes.
- E. ewingii more commonly infects granulocytes.
- No target cell has been identified for E. muris eauclairensis.
- E. chaffeensis most commonly infects monocytes.
- Blood smear examination for morulae is insufficiently sensitive and should not be relied upon solely to diagnose ehrlichiosis.
- Observing morulae in a particular cell type cannot conclusively differentiate among Ehrlichia species or between Ehrlichia and Anaplasma.
For more in-depth information about diagnosing ehrlichioses: Diagnosis and Management of Tickborne Rickettsial Diseases: Rocky Mountain Spotted Fever and Other Spotted Fever Group Rickettsioses, Ehrlichioses, and Anaplasmosis — United States: A Practical Guide for Health Care and Public Health Professionals (2016)