Key points
- Hansen’s disease is diagnosed based on clinical presentation and the diagnosis is confirmed by skin or nerve biopsy and acid-fast staining.
- In the United States, the National Hansen’s Disease Program can provide diagnostic services.
- Hansen's disease is a reportable condition to state or local health departments.
Arranging diagnostic testing
In the United States, the National Hansen’s Disease Program can provide diagnostic services.
Healthcare providers should seek prompt consultation with National Hansen's Disease Program. Phone 1-800-642-2477, weekdays 9 AM to 5:30 PM ET (in Hawaii: 1-808-733-9831).
Recommended specimens
Depending on the form of Hansen's disease suspected by the treating physician, the following specimens may be collected:
- Skin smears from the earlobes, elbows, and knees
- Skin biopsy from edges of active patches
- Nerve biopsy from thickened nerves
Recommended tests
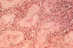
Biopsies are needed to definitively diagnose and classify Hansen's disease. Slit skin smear may also be helpful in diagnosing those with multibacillary (MB) Hansen's disease.
In MB Hansen's disease, tissue biopsy of various affected sites may reveal typical histopathologic changes and large numbers of foam cells. Foam cells are macrophages that have ingested M. leprae bacteria, but are unable to digest the organisms. The M. leprae bacteria multiply and use the macrophage as a method of transport throughout the body. This is how the bacteria cause the multiple lesions that appear in all parts of the body in MB leprosy patients.


Laboratory workers should use the Ziehl-Neelson method using 5% sulphuric acid as decolorizing agent. The presence of acid-fast bacilli confirms the diagnosis of Hansen's disease.


Reporting cases
Hansen's disease cases must be reported to jurisdictions when identified by a healthcare provider, hospital, or laboratory. Specific reporting requirements may vary by jurisdiction. Public health authorities should submit a Hansen's Disease Case Report form to CDC.