At a glance
The Infectious Diseases Pathology Branch is the primary unit within CDC responsible for conducting laboratory studies and investigations of infectious diseases of unknown cause or origin. The branch also works to identify new or emerging pathogens.

What we do
The Infectious Diseases Pathology Branch (IDPB)'s mission is to advance public health in the United States and globally by investigating and identifying infectious causes of illness and death using pathology and tissue-based diagnostics.
IDPB is a multidisciplinary team of scientists, including pathologists, molecular biologists, microbiologists, and epidemiologists who investigate complex cases, infectious disease outbreaks, and public health emergency responses involving a wide range of pathogens.
IDPB's work contributes to CDC's overall public health goals through diagnosis, surveillance, outbreak investigations, and research to further knowledge about the cause and process of infectious diseases.
They collaborate with other programs at CDC, and IDBP provide support and training to state and local health departments, federal agencies, academic institutions, and other health organizations. IDPB also supports the global efforts of the Child Health and Mortality Prevention Surveillance (CHAMPS) project.

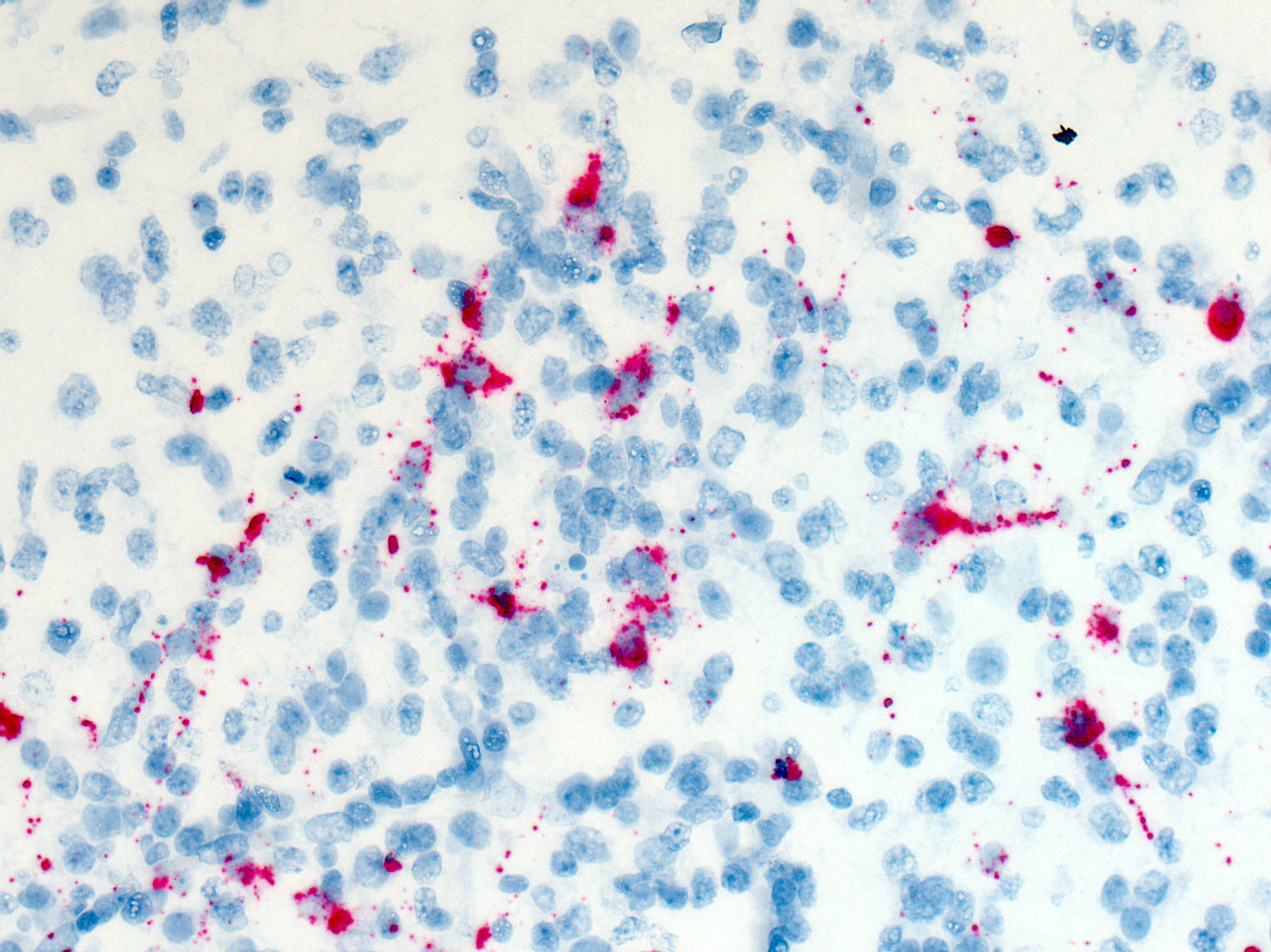
How we work
IDPB's work is a critical part of the detection, research, and surveillance of emerging and re-emerging pathogens.
Each year, cases from all over the world are sent to IDPB. Pathologists and scientific teams work to diagnose and fully understand diseases so that public health professionals can stop a disease's spread, treat it, and prevent it.
Diagnosing infections
Diagnosing infections in people and animals is essential for developing infection control and prevention measures, understanding the disease process, and determining proper treatment. IDPB scientists develop and routinely apply cutting-edge laboratory techniques to identify hundreds of different infectious agents in body tissues. These tests identify many different kinds of viruses, bacteria, parasites, and fungi. Many of the tests that IDPB performs are highly specialized and specifically optimized for formalin-fixed, paraffin-embedded (FFPE) tissues. IDPB's high-quality services meet regulatory requirements through quality management and regulatory compliance programs.

Investigating unexplained illness and death
Investigating unexplained illnesses and deaths is a major part of IDPB's work. Figuring out which diseases are responsible for illnesses can be incredibly important for disease reporting, and making sure people get what they need to know to prevent or treat a disease.
IDPB often takes the lead when CDC investigates deaths that are thought to be due to an infection.
Outbreak investigations and surveillance
During an outbreak and other investigations, IDPB helps to make a diagnosis in human and animal tissues to confirm the cause of a disease. In addition, if pathogen-specific test results are negative or inconclusive, pathologic examination can provide needed direction in an outbreak investigation. This is common with emerging or new pathogens, which can be difficult to identify.
Tissue-based investigative methods are also important to disease surveillance efforts. Surveillance systems monitor for disease, and an efficient process can help control and prevent an outbreak by picking up on early cases.
Pathogenesis studies
Another of pathology's important contributions to the study of disease is determining pathogenesis, or the process and progression of a disease in a human or animal's body.
IDPB performs pathology and other techniques to study zoonotic and infectious diseases of public health importance in humans and animals. These studies can lead to the development of new treatments and vaccines for diseases.
Submitting a sample
IDPB works with human and animal tissue samples only (no body fluids, swabs, or other specimen types). Acceptable specimens differ depending on several factors including specimen type, source, and anticipated type of testing.
If you are a physician or are associated with a government health agency, please contact pathology@cdc.gov for consultation, pre-approval, and information on how to submit cases to IDPB for testing.
Acceptable specimens and submission instructions
Please direct questions to Pathology@cdc.gov.