What to know
CDC's Infectious Diseases Pathology Branch (IDPB) develops, validates, and routinely applies a variety of innovating and state-of-the-art techniques and tests to evaluate formalin-fixed paraffin-embedded (FFPE) tissue specimens.

IDPB laboratory techniques
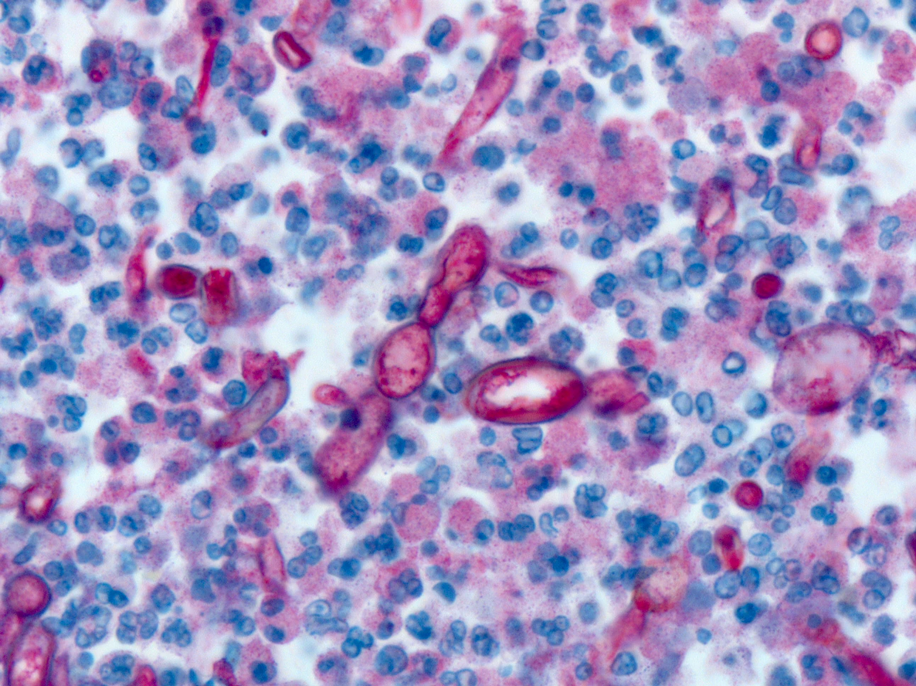
Microscopic evaluation
Pathologists examine samples under a microscope to help determine the characteristics of diseases and infectious agents. Different types of traditional and special histochemical stains help to highlight bacteria, fungi, and other pathogens in tissues.

Immunohistochemistry (IHC)
Immunohistochemistry uses specific antibodies to detect specific organisms in tissues. This method can help determine which organism is causing an infection, establish the pathogenic significance of microbiological results, and show which tissue and cell types are affected. IDPB has hundreds of antibodies to detect various infectious agents.

In situ hybridization (ISH)
In situ hybridization uses agent-specific probes to detect DNA and RNA of specific infectious agents directly in tissues. It can also identify the tissue and cell types where a pathogen persists and replicates. ISH is particularly useful for research studies.
Molecular Methods
IDPB routinely performs conventional and real-time PCR assays and DNA sequencing to identify a wide range of infectious agents in FFPE biopsy and autopsy tissues. IDPB also has cutting-edge techniques and diagnostic tools like digital PCR and next-generation sequencing to rapidly identify and characterize emerging and new disease-causing pathogens.

Electron Microscopy
Electron microscopy uses a very high-powered microscope to examine the structure of infectious agents like viruses, bacteria, parasites, and fungi. This is particularly useful for identifying and characterizing new infectious agents.
ePathology
IDPB's ePathology platform is available for expedited and remote consultations with IDPB pathologists on cases with suspected infectious diseases. This platform is also used for training and information sharing.
Users can electronically submit photographs (including electron microphotographs) or scanned digital whole-slide images for consultation. Please send your teleconsultation request to ePathology@cdc.gov and include the following information:
- Your name and affiliation
- Your email and full contact information
- Patient age, gender
- Patient outcome (living, deceased)
- Type of specimen
- Date specimen was collected, stain used, and magnification of the microscopic field captured
- Presumed diagnosis
- Any other pertinent data, including travel history, animal or other exposures, underlying medical conditions, immune status, length of disease course, if they're pre- or post-treatment, and other related information.
IDPB can receive the following image formats: JPEG, JPG, JP2, TIFF, TIF, CWS, SVS, SCN, BIF (Ventana), CZI (Zeiss), DICOM, iSyntax (Philips), MRXS (3D HISTECH), NDPI (Hamamatsu), VMS, Open URI, and OMERO.
Important ePathology information
If you are a patient with a medical emergency, please consult your healthcare provider or the nearest medical facility. CDC does not provide clinical care, diagnose illness, provide treatment, prescribe medication, or refer patients to specialists.
Submitting a sample
IDPB works with human and animal tissue samples only (no body fluids, swabs, or other specimen types). Acceptable specimens differ depending on several factors including specimen type, source, and anticipated type of testing. For detailed information on acceptable specimens and specimen submission instructions, refer to Pathologic or Molecular Evaluation of Fixed Tissues for Possible Infectious Etiologies (CDC-10365) for CDC's Infectious Diseases Laboratory Test Directory. For electron microscopy specimens, use separate Test Order Code CDC-10559.